Cell Signaling Technology Logo - Extra Large
Trial Size Available Flag
Recombinant Flag
Recombinant: Superior lot-to-lot consistency, continuous supply, and animal-free manufacturing.

Versican (F4U1K) Rabbit Monoclonal Antibody #98586

Filter:
  • WB

    Product Specifications

    REACTIVITY H
    SENSITIVITY Endogenous
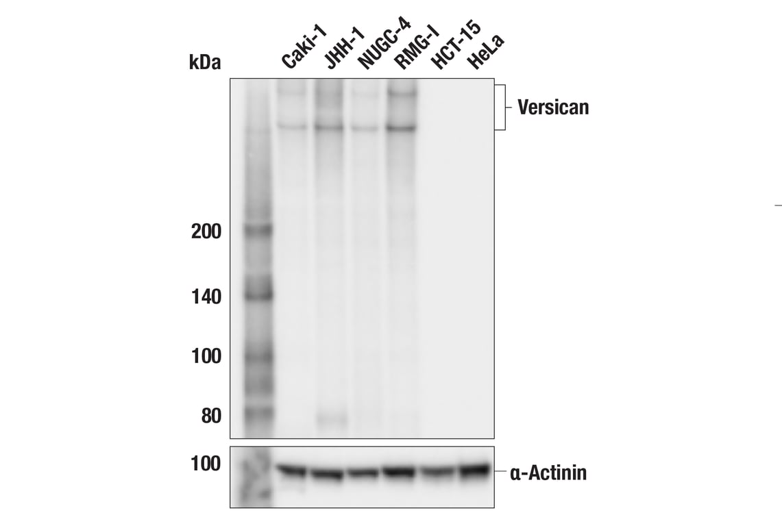
    MW (kDa) 700, 500, 400
    Source/Isotype Rabbit IgG
    Application Key:
    • WB-Western Blotting 
    Species Cross-Reactivity Key:
    • H-Human 

    Product Information

    Product Usage Information

    Application Dilution
    Western Blotting 1:1000

    Storage

    Supplied in 10 mM sodium HEPES (pH 7.5), 150 mM NaCl, 100 µg/mL BSA, 50% glycerol, and less than 0.02% sodium azide. Store at –20°C. Do not aliquot the antibody.

    实验步骤

    Specificity / Sensitivity

    Versican (F4U1K) Rabbit Monoclonal Antibody recognizes endogenous levels of total versican protein. This antibody detects all isoforms of versican protein. A smeary band of versican protein aggregates is observed at a very high molecular weight.

    Species Reactivity:

    Human

    Source / Purification

    Monoclonal antibody is produced by immunizing animals with a synthetic peptide corresponding to residues near the amino terminus of human versican protein.

    Background

    Versican (VCAN) is a large chondroitin sulfate proteoglycan (CSPG) located in the extracellular matrix (ECM). The core protein of versican has an N-terminal G1 domain for hyaluronan binding, followed by chondroitin sulfate binding domains, and a C-terminal G3 domain containing EGF-like repeats and a lectin binding region (1). These versican domains contribute to its interaction with other ECM molecules, including CD44 and integrin beta 1 (2). Versican is an important extracellular component for the formation of provisional matrix to mediate cardiac development, neural crest cell migration, and limb development (3,4). During inflammatory response, versican accumulates at the injury site and supports leukocyte adhesion and inflammatory cytokine production (5). During cancer development, overexpressed versican promotes cancer cell proliferation, survival, angiogenesis, invasion, and metastasis (6).

    Alternate Names

    Chondroitin sulfate proteoglycan 2; Chondroitin sulfate proteoglycan core protein 2; CSPG2; DKFZp686K06110; ERVR; GHAP; Glial hyaluronate-binding protein; Large fibroblast proteoglycan; PG-M; VCAN; versican; Versican core protein; versican proteoglycan; WGN; WGN1

    For Research Use Only. Not for Use in Diagnostic Procedures.
    Cell Signaling Technology is a trademark of Cell Signaling Technology, Inc.
    All other trademarks are the property of their respective owners. Visit our Trademark Information page.