Cell Signaling Technology Logo - Extra Large
Trial Size Available Flag
Recombinant Flag
Recombinant: Superior lot-to-lot consistency, continuous supply, and animal-free manufacturing.

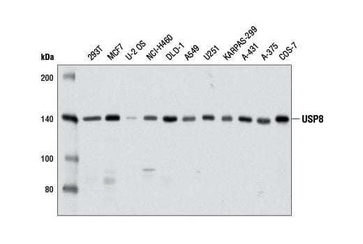
USP8 (D18F6) Rabbit Monoclonal Antibody #11832

Filter:
  • WB
  • IP

    Product Specifications

    REACTIVITY H Mk
    SENSITIVITY Endogenous
    MW (kDa) 140
    Source/Isotype Rabbit IgG
    Application Key:
    • WB-Western Blotting 
    • IP-Immunoprecipitation 
    Species Cross-Reactivity Key:
    • H-Human 
    • Mk-Monkey 

    Product Information

    Product Usage Information

    Application Dilution
    Western Blotting 1:1000
    Immunoprecipitation 1:100

    Storage

    Supplied in 10 mM sodium HEPES (pH 7.5), 150 mM NaCl, 100 µg/ml BSA, 50% glycerol and less than 0.02% sodium azide. Store at –20°C. Do not aliquot the antibody.

    实验步骤

    Specificity / Sensitivity

    USP8 (D18F6) Rabbit Monoclonal Antibody recognizes endogenous levels of total USP8 protein.

    Species Reactivity:

    Human, Monkey

    Source / Purification

    Monoclonal antibody is produced by immunizing animals with a synthetic peptide corresponding to residues surrounding Leu614 of human USP8 protein.

    Background

    Ubiquitinating enzymes (UBEs) catalyze protein ubiquitination, a reversible process countered by deubiquitinating enzyme (DUB) action (1,2). Five DUB subfamilies are recognized, including the USP, UCH, OTU, MJD, and JAMM enzymes. The deubiquitinating enzyme ubiquitin-specific protease 8 (USP8/UBPy) is a cysteine protease belonging to the USP/UBP subfamily. Research studies have shown that USP8 is an essential growth-regulated enzyme indespensible for cell proliferation and survival (3,4). Indeed, conditional knock-out of murine USP8 was shown to promote a dramatic loss in expression of receptor tyrosine kinases, including EGFR, ErbB3, and c-Met (4). In agreement with these findings, USP8 inactivation leads to enhanced ubiquitination of ligand-activated EGFR (5,6). Furthermore, phosphorylation of USP8 at Ser680 results in its binding of 14-3-3, catalytic inactivation, and reduced EGFR deubiquitination (7). It appears as though USP8, in conjunction with components of the ESCRT-0 complex, plays an integral role in the early endosomal sorting machinery that functions to protect EGFR from lysosomal degradation (8,9).

    Alternate Names

    Deubiquitinating enzyme 8; FLJ34456; hUBPy; HumORF8; KIAA0055; MGC129718; PITA4; SPG59; Ubiquitin carboxyl-terminal hydrolase 8; Ubiquitin isopeptidase Y; ubiquitin specific peptidase 8; ubiquitin specific protease 8; Ubiquitin thioesterase 8; ubiquitin thiolesterase 8; Ubiquitin-specific-processing protease 8; UBP8; UBPY; USP8

    For Research Use Only. Not for Use in Diagnostic Procedures.
    Cell Signaling Technology is a trademark of Cell Signaling Technology, Inc.
    All other trademarks are the property of their respective owners. Visit our Trademark Information page.