Cell Signaling Technology Logo - Extra Large
Trial Size Available Flag
Recombinant Flag
Recombinant: Superior lot-to-lot consistency, continuous supply, and animal-free manufacturing.

USP14 (D8Q6S) Rabbit Monoclonal Antibody #11931

Filter:
  • WB
  • IP

    Product Specifications

    REACTIVITY H M R
    SENSITIVITY Endogenous
    MW (kDa) 60
    Source/Isotype Rabbit IgG
    Application Key:
    • WB-Western Blotting 
    • IP-Immunoprecipitation 
    Species Cross-Reactivity Key:
    • H-Human 
    • M-Mouse 
    • R-Rat 

    Product Information

    Product Usage Information

    Application Dilution
    Western Blotting 1:1000
    Immunoprecipitation 1:100

    Storage

    Supplied in 10 mM sodium HEPES (pH 7.5), 150 mM NaCl, 100 µg/ml BSA, 50% glycerol and less than 0.02% sodium azide. Store at –20°C. Do not aliquot the antibody.

    实验步骤

    Specificity / Sensitivity

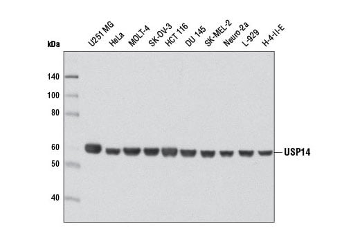
    USP14 (D8Q6S) Rabbit Monoclonal Antibody recognizes endogenous levels of total USP14 protein. Based upon sequence alignment, this antibody is predicted to react with both isoform a and isoform b of USP14.

    Species Reactivity:

    Human, Mouse, Rat

    The antigen sequence used to produce this antibody shares 100% sequence homology with the species listed here, but reactivity has not been tested or confirmed to work by CST. Use of this product with these species is not covered under our Product Performance Guarantee.

    Species predicted to react based on 100% sequence homology:

    Hamster, Bovine, Dog

    Source / Purification

    Monoclonal antibody is produced by immunizing animals with a synthetic peptide corresponding to residues near the carboxy terminus of human USP14 protein.

    Background

    Ubiquitinating enzymes (UBEs) catalyze protein ubiquitination, a reversible process countered by deubiquitinating enzyme (DUB) action (1,2). Five DUB subfamilies are recognized, including the USP, UCH, OTU, MJD, and JAMM enzymes. In humans, there are three proteasomal DUBs: PSMD14 (POH1/RPN11), UCH37 (UCH-L5), and Ubiquitin-Specific Protease 14, which is also known as the 60 kDa subunit of tRNA-guanine transglycosylase (USP14/TGT60 kDa). USP14 is recruited to the proteasome through its reversible association with the PSMD2 (S2/hRPN1) subunit of the 19S regulatory particle. Whereas PSMD14 appears to promote substrate degradation (3,4), USP14 is thought to antagonize substrate degradation (5-8). While the underlying mechanism for the opposing roles of these two proteasomal DUBs is still uncertain, it is thought that USP14 removes ubiquitin from substrate upon docking of the substrate with the 26S proteasome. Furthermore, USP14 trims ubiquitin residues from the distal end of the polyubiquitin chain, thus decreasing the affinity of the chain for the ubiquitin receptors of the proteasome, and allowing for enhanced substrate stability (6,9,10). Studies have elucidated a physiologic role for USP14 in regulating synaptic activity in mammals (11). Research studies have shown that targeting this activity with small molecule inhibitors has potential benefits for the treatment of neurodegenerative diseases and cancer (5,12).

    Alternate Names

    Deubiquitinating enzyme 14; TGT; tRNA-guanine transglycosylase, 60-kD subunit; Ubiquitin carboxyl-terminal hydrolase 14; ubiquitin specific peptidase 14; ubiquitin specific peptidase 14 (tRNA-guanine transglycosylase); ubiquitin specific protease 14; ubiquitin specific protease 14 (tRNA-guanine transglycosylase); Ubiquitin thioesterase 14; ubiquitin thiolesterase 14; ubiquitin-specific processing protease 14; Ubiquitin-specific-processing protease 14; UBP14; USP14

    For Research Use Only. Not for Use in Diagnostic Procedures.
    Cell Signaling Technology is a trademark of Cell Signaling Technology, Inc.
    All other trademarks are the property of their respective owners. Visit our Trademark Information page.