Cell Signaling Technology Logo - Extra Large
Trial Size Available Flag
Recombinant Flag
Recombinant: Superior lot-to-lot consistency, continuous supply, and animal-free manufacturing.

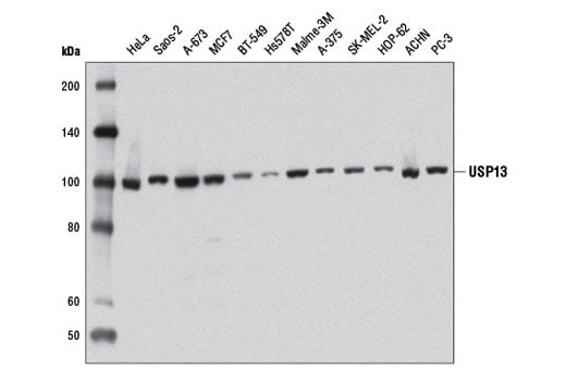
USP13 (D4P3M) Rabbit Monoclonal Antibody #12577

Filter:
  • WB

    Product Specifications

    REACTIVITY H
    SENSITIVITY Endogenous
    MW (kDa) 100
    Source/Isotype Rabbit IgG
    Application Key:
    • WB-Western Blotting 
    Species Cross-Reactivity Key:
    • H-Human 

    Product Information

    Product Usage Information

    Application Dilution
    Western Blotting 1:1000

    Storage

    Supplied in 10 mM sodium HEPES (pH 7.5), 150 mM NaCl, 100 µg/ml BSA, 50% glycerol and less than 0.02% sodium azide. Store at –20°C. Do not aliquot the antibody.

    Protocol

    Specificity / Sensitivity

    USP13 (D4P3M) Rabbit Monoclonal Antibody recognizes endogenous levels of total USP13 protein. This antibody does not cross-react with USP5/ISOT.

    Species Reactivity:

    Human

    Source / Purification

    Monoclonal antibody is produced by immunizing animals with a synthetic peptide corresponding to residues near the amino terminus of human USP13 protein.

    Background

    Ubiquitinating enzymes (UBEs) catalyze protein ubiquitination, a reversible process countered by deubiquitinating enzyme (DUB) action (1,2). Five DUB subfamilies are recognized, including the USP, UCH, OTU, MJD, and JAMM enzymes. Ubiquitin carboxyl-terminal hydrolase 13 (USP13; isopeptidase T-3) contains four ubiquitin-associated/translation elongation factor EF1B, amino terminal (UBA) domains and one ubiquitin-specific processing protease (UBP) domain. The UBP domain of USP13 contains a catalytic site, a zinc finger domain, and two UBA domains. Similar to other USP family members, USP13 contains cysteines and histidines that are likely involved in its catalytic mechanism. Studies show that USP13 plays a critical role in autophagy through the deubiquitination of target proteins such as BECN1 and USP10 (3). Research also suggests that USP13 is implicated in the pathogenesis of melanoma through its ability to regulate the ubiquitination status of MITF (4).

    Alternate Names

    Deubiquitinating enzyme 13; Isopeptidase T-3; ISOT-3; ISOT3; Ubiquitin carboxyl-terminal hydrolase 13; ubiquitin specific peptidase 13; ubiquitin specific peptidase 13 (isopeptidase T-3); ubiquitin specific protease 13 (isopeptidase T-3); Ubiquitin thioesterase 13; ubiquitin thiolesterase 13; Ubiquitin-specific-processing protease 13; UBP13; USP13

    For Research Use Only. Not for Use in Diagnostic Procedures.
    Cell Signaling Technology is a trademark of Cell Signaling Technology, Inc.
    All other trademarks are the property of their respective owners. Visit our Trademark Information page.