Cell Signaling Technology Logo - Extra Large
Trial Size Available Flag
Recombinant Flag
Recombinant: Superior lot-to-lot consistency, continuous supply, and animal-free manufacturing.

UPF1 (D15G6) Rabbit Monoclonal Antibody #12040

Filter:
  • WB
  • IP
  • IF
  • eCLIP

    Product Specifications

    REACTIVITY H M R Mk
    SENSITIVITY Endogenous
    MW (kDa) 140
    Source/Isotype Rabbit IgG
    Application Key:
    • WB-Western Blotting 
    • IP-Immunoprecipitation 
    • IF-Immunofluorescence 
    • eCLIP-eCLIP 
    Species Cross-Reactivity Key:
    • H-Human 
    • M-Mouse 
    • R-Rat 
    • Mk-Monkey 

    Product Information

    Product Usage Information

    Application Dilution
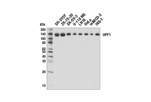
    Western Blotting 1:1000
    Immunoprecipitation 1:50
    Immunofluorescence (Immunocytochemistry) 1:100 - 1:400
    eCLIP 1:200
    For more information about the RBP-eCLIP service please visit Eclipsebio.

    Storage

    Supplied in 10 mM sodium HEPES (pH 7.5), 150 mM NaCl, 100 µg/ml BSA, 50% glycerol and less than 0.02% sodium azide. Store at –20°C. Do not aliquot the antibody.

    实验步骤

    Specificity / Sensitivity

    UPF1 (D15G6) Rabbit Monoclonal Antibody recognizes endogenous levels of total UPF1 protein.

    Species Reactivity:

    Human, Mouse, Rat, Monkey

    Source / Purification

    Monoclonal antibody is produced by immunizing animals with a synthetic peptide corresponding to residues near the carboxy terminus of human UPF1 protein.

    Background

    UPF1 was identified as an active component in nonsense-mediated mRNA decay (NMD), an mRNA surveillance mechanism in eukaryotic cells that degrades mRNAs containing premature termination codons (1). UPF1 was found to be an ATP-dependent RNA helicase in the cytoplasm (2) and was later shown to be a component of cytoplasmic P-bodies (3). UPF1 phosphorylation mediates the repression of translation that accompanies NMD, allowing mRNA accessibility to the NMD machinery (4). Two other active components of NMD, UPF2 and UPF3, were also identified and described as having perinuclear and nucleocytoplasmic localization, respectively (5).

    Alternate Names

    ATP-dependent helicase RENT1; delta helicase; FLJ43809; FLJ46894; hUpf1; KIAA0221; Nonsense mRNA reducing factor 1; NORF1; pNORF1; Regulator of nonsense transcripts 1; RENT1; smg-2; smg-2 homolog, nonsense mediated mRNA decay factor; UP Frameshift 1; up-frameshift mutation 1 homolog; Up-frameshift suppressor 1 homolog; UPF1; UPF1 regulator of nonsense transcripts homolog; UPF1 regulator of nonsense transcripts homolog (yeast); UPF1 RNA helicase and ATPase; yeast Upf1p homolog

    For Research Use Only. Not for Use in Diagnostic Procedures.
    Cell Signaling Technology is a trademark of Cell Signaling Technology, Inc.
    All other trademarks are the property of their respective owners. Visit our Trademark Information page.