Render Target: STATIC
Render Timestamp:
5/28/2026, 8:03:15 PM EDT
5/29/2026, 12:03:15 AM UTC
Commit: 7ed46ecc04b401f23a28df741b5078df405d23e4
XML generation date: 2025-11-12 16:14:40.790
Product last modified at: 2026-03-20T08:06:08.174Z
Cell Signaling Technology Logo - Extra Large
1% for the planet logo
PDP - Template Name: Monoclonal Antibody
PDP - Template ID: *******c5e4b77
Trial Size Available Flag
Recombinant Flag
Recombinant: Superior lot-to-lot consistency, continuous supply, and animal-free manufacturing.

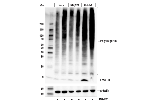
Ubiquitin (E4I2J) Rabbit Monoclonal Antibody #43124

Filter:
  • WB

    Product Specifications

    REACTIVITY All
    SENSITIVITY Endogenous
    MW (kDa)
    Source/Isotype Rabbit IgG
    Application Key:
    • WB-Western Blotting 
    Species Cross-Reactivity Key:
    • All-All Species Expected 

    Product Information

    Product Usage Information

    Application Dilution
    Western Blotting 1:1000

    Storage

    Supplied in 10 mM sodium HEPES (pH 7.5), 150 mM NaCl, 100 µg/ml BSA, 50% glycerol and less than 0.02% sodium azide. Store at –20°C. Do not aliquot the antibody.

    实验步骤

    Specificity / Sensitivity

    Ubiquitin (E4I2J) Rabbit Monoclonal Antibody recognizes endogenous levels of free ubiquitin and polyubiquitinated proteins. This antibody is able to detect free ubiquitin, linear polyubiquitin (M1-linked), and homotypic polyubiquitin chains consisting of K6, K11, K27, K29, K33, K48 and K63 linkages.

    Species Reactivity:

    All Species Expected

    Source / Purification

    Monoclonal antibody is produced by immunizing animals with a synthetic peptide corresponding to residues surrounding Gly35 of human ubiquitin protein.

    Background

    Ubiquitin is a conserved polypeptide unit that plays an important role in the ubiquitin-proteasome pathway. Ubiquitin can be covalently linked to many cellular proteins by the ubiquitination process, which targets proteins for degradation by the 26S proteasome. Three components are involved in the target protein-ubiquitin conjugation process. Ubiquitin is first activated by forming a thiolester complex with the activation component E1; the activated ubiquitin is subsequently transferred to the ubiquitin-carrier protein E2, then from E2 to ubiquitin ligase E3 for final delivery to the epsilon-NH2 of the target protein lysine residue (1-3). The ubiquitin-proteasome pathway has been implicated in a wide range of normal biological processes and in disease-related abnormalities. Several proteins such as IκB, p53, cdc25A, and Bcl-2 have been shown to be targets for the ubiquitin-proteasome process as part of regulation of cell cycle progression, differentiation, cell stress response, and apoptosis (4-7).

    Alternate Names

    40S ribosomal protein S27a; 60S ribosomal protein L40; CEP52; CEP80; epididymis luminal protein 112; epididymis secretory protein Li 50; FLJ25987; HEL-S-50; HEL112; HMG20; HUBCEP52; L40; Large ribosomal subunit protein eL40; MGC126879; MGC126881; MGC57125; MGC8385; polyubiquitin B; Polyubiquitin-B; Polyubiquitin-C; ribosomal protein L40; ribosomal protein S27a; RL40; RPL40; RPS27A; RS27A; S27A; Small ribosomal subunit protein eS31; UBA52; UBA80; UBB; UBC; UBCEP1; UBCEP2; UBCEP80; ubiquitin; Ubiquitin; ubiquitin A-52 residue ribosomal protein fusion product 1; ubiquitin and ribosomal protein L40; ubiquitin and ribosomal protein S27a; Ubiquitin B; ubiquitin C; ubiquitin carboxyl extension protein 52; Ubiquitin carboxyl extension protein 80; Ubiquitin-40S ribosomal protein S27a; ubiquitin-52 amino acid fusion protein; Ubiquitin-60S ribosomal protein L40; ubiquitin-CEP52; ubiquitin-CEP80; Ubiquitin-ribosomal protein eL40 fusion protein; Ubiquitin-ribosomal protein eS31 fusion protein

    For Research Use Only. Not for Use in Diagnostic Procedures.
    Cell Signaling Technology is a trademark of Cell Signaling Technology, Inc.
    All other trademarks are the property of their respective owners. Visit our Trademark Information page.