Cell Signaling Technology Logo - Extra Large
Trial Size Available Flag
Recombinant Flag
Recombinant: Superior lot-to-lot consistency, continuous supply, and animal-free manufacturing.

TRIM21 (F2E4V) Rabbit Monoclonal Antibody #91462

Filter:
  • WB
  • IP

    Product Specifications

    REACTIVITY M
    SENSITIVITY Endogenous
    MW (kDa) 54
    Source/Isotype Rabbit IgG
    Application Key:
    • WB-Western Blotting 
    • IP-Immunoprecipitation 
    Species Cross-Reactivity Key:
    • M-Mouse 

    Product Information

    Product Usage Information

    Application Dilution
    Western Blotting 1:1000
    Simple Western™ 1:10 - 1:50
    Immunoprecipitation 1:100

    Storage

    Supplied in 10 mM sodium HEPES (pH 7.5), 150 mM NaCl, 100 µg/mL BSA, 50% glycerol, and less than 0.02% sodium azide. Store at –20°C. Do not aliquot the antibody.

    实验步骤

    Specificity / Sensitivity

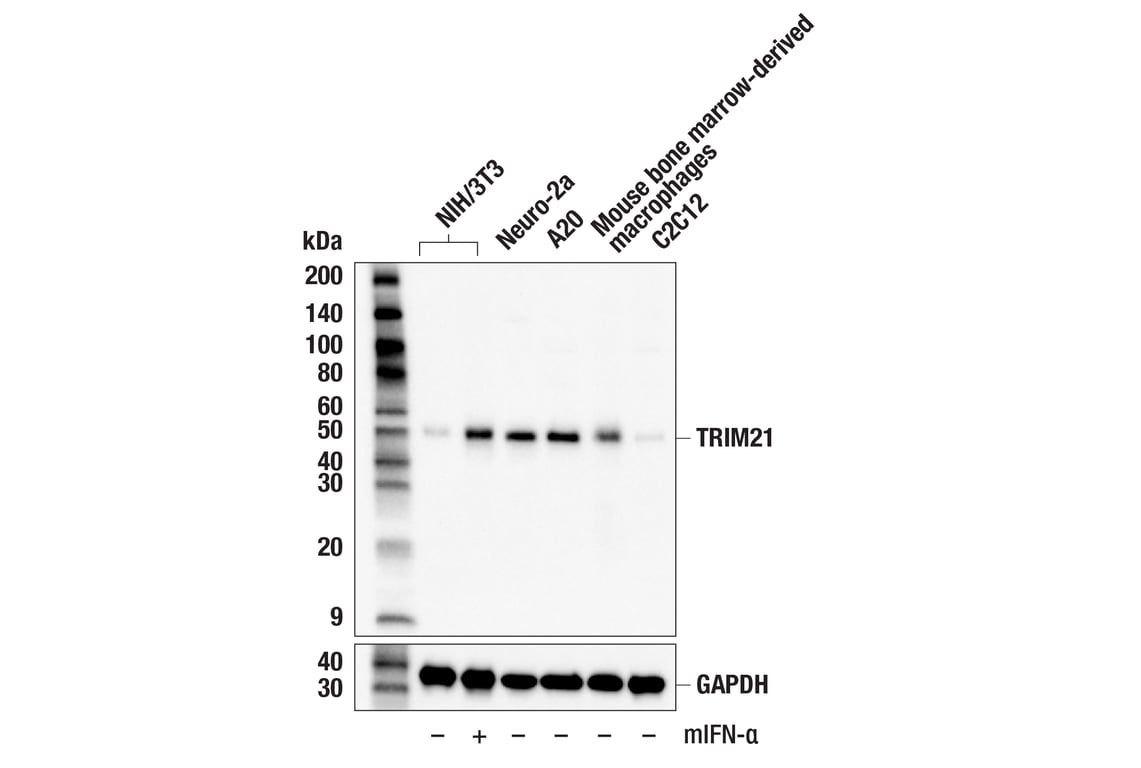
    TRIM21 (F2E4V) Rabbit Monoclonal Antibody recognizes endogenous levels of total TRIM21 protein.

    Species Reactivity:

    Mouse

    Source / Purification

    Monoclonal antibody is produced by immunizing animals with a synthetic peptide corresponding to residues surrounding Gln320 of mouse TRIM21 protein.

    Background

    Tripartite motif-containing protein 21 (TRIM21) is a cytosolic antiviral protein that is induced by interferons (IFNs) and acts as a cytosolic IgG receptor (1,2). TRIM21 is an activator of the innate immune system and targets antibody-bound virions to the proteasome via its E3 ubiquitin ligase activity, leading to degradation of the virions in the cytosol (3,4). Interestingly, TRIM21 has also been shown to negatively regulate pathogen-induced IFN production through the polyubiquitin-mediated degradation of multiple targets, including IRF3, IRF7, and DDX41 (5-7).

    Alternate Names

    52 kDa ribonucleoprotein autoantigen Ro/SS-A; 52 kDa Ro protein; 52kD Ro/SSA autoantigen; E3 ubiquitin-protein ligase TRIM21; RING-type E3 ubiquitin transferase TRIM21; Ro(SS-A); Ro52; Sjoegren syndrome type A antigen; Sjogren syndrome antigen A1; SS-A; Ssa1; Trim21; tripartite motif protein 21; tripartite motif-containing 21; Tripartite motif-containing protein 21

    For Research Use Only. Not for Use in Diagnostic Procedures.
    Cell Signaling Technology is a trademark of Cell Signaling Technology, Inc.
    All other trademarks are the property of their respective owners. Visit our Trademark Information page.