Recombinant: Superior lot-to-lot consistency, continuous supply, and animal-free manufacturing.
TRAF5 (D3E2R) Rabbit Monoclonal Antibody #41658
Filter:
- WB
Product Specifications
| REACTIVITY | H |
| SENSITIVITY | Endogenous |
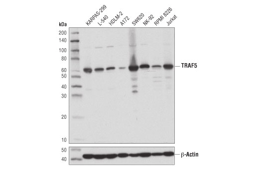
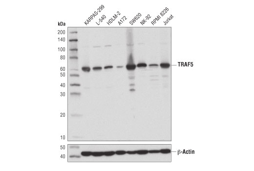
| MW (kDa) | 64 |
| Source/Isotype | Rabbit IgG |
Application Key:
- WB-Western Blotting
Species Cross-Reactivity Key:
- H-Human
Product Information
Product Usage Information
| Application | Dilution |
|---|---|
| Western Blotting | 1:1000 |
Storage
Supplied in 10 mM sodium HEPES (pH 7.5), 150 mM NaCl, 100 µg/ml BSA, 50% glycerol and less than 0.02% sodium azide. Store at –20°C. Do not aliquot the antibody.
实验步骤
Specificity / Sensitivity
TRAF5 (D3E2R) Rabbit Monoclonal Antibody recognizes endogenous levels of total TRAF5 protein.
Species Reactivity:
Human
Source / Purification
Monoclonal antibody is produced by immunizing animals with a synthetic peptide corresponding to residues surrounding His383 of human TRAF5 protein.
Background
TRAFs (TNF receptor-associated factors) are a family of multifunctional adaptor proteins that bind to surface receptors and recruit additional proteins to form multiprotein signaling complexes capable of promoting cellular responses (1-3). Members of the TRAF family share a common carboxy-terminal "TRAF domain", which mediates interactions with associated proteins; many also contain amino-terminal Zinc/RING finger motifs. The first TRAFs identified, TRAF1 and TRAF2, were found by virtue of their interactions with the cytoplasmic domain of TNF-receptor 2 (TNFRII) (4). The six known TRAFs (TRAF1-6) act as adaptor proteins for a wide range of cell surface receptors and participate in the regulation of cell survival, proliferation, differentiation, and stress responses.
TRAF5 regulates signaling through binding to the cytoplasmic domains of TNFR family members including CD40, CD27, CD30, OX40, and lymphotoxin-β receptor (5-10). Overexpression of TRAF5 induces NF-κB activation. Cytoplasmic aggregates of TRAF5, as well as TRAF2, were reported in Hodgkin-Reed-Sternberg cells, resulting in constitutive NF-κB activation (11).
Studies of TRAF5-deficient mice suggest that it plays an important role in limiting Th2 immune responses that trigger T-cell-mediated inflammatory diseases and asthma (12). Further studies indicate that TRAF5 binds to the IL-6 receptor gp130 and negatively controls Th17 differentation (13). In B-cells, TRAF5 negatively regulates toll-like receptor (TLR) mediated cytokine and antibody production (14).
TRAF5 regulates signaling through binding to the cytoplasmic domains of TNFR family members including CD40, CD27, CD30, OX40, and lymphotoxin-β receptor (5-10). Overexpression of TRAF5 induces NF-κB activation. Cytoplasmic aggregates of TRAF5, as well as TRAF2, were reported in Hodgkin-Reed-Sternberg cells, resulting in constitutive NF-κB activation (11).
Studies of TRAF5-deficient mice suggest that it plays an important role in limiting Th2 immune responses that trigger T-cell-mediated inflammatory diseases and asthma (12). Further studies indicate that TRAF5 binds to the IL-6 receptor gp130 and negatively controls Th17 differentation (13). In B-cells, TRAF5 negatively regulates toll-like receptor (TLR) mediated cytokine and antibody production (14).
- Arch, R.H. et al. (1998) Genes Dev 12, 2821-30.
- Chung, J.Y. et al. (2002) J Cell Sci 115, 679-88.
- Bradley, J.R. and Pober, J.S. (2001) Oncogene 20, 6482-91.
- Rothe, M. et al. (1994) Cell 78, 681-92.
- Nakano, H. et al. (1996) J Biol Chem 271, 14661-4.
- Ishida, T.K. et al. (1996) Proc Natl Acad Sci U S A 93, 9437-42.
- Aizawa, S. et al. (1997) J Biol Chem 272, 2042-5.
- Mizushima, S. et al. (1998) Gene 207, 135-40.
- Kawamata, S. et al. (1998) J Biol Chem 273, 5808-14.
- Nakano, H. et al. (1999) Proc Natl Acad Sci U S A 96, 9803-8.
- Horie, R. et al. (2002) Am J Pathol 160, 1647-54.
- So, T. et al. (2004) J Immunol 172, 4292-7.
- Nagashima, H. et al. (2014) Nat Immunol 15, 449-56.
- Buchta, C.M. and Bishop, G.A. (2014) J Immunol 192, 145-50.
Alternate Names
MGC:39780; RING finger protein 84; RNF84; TNF receptor associated factor 5; TNF receptor-associated factor 5; TRAF5
限制使用
除非 CST 的合法授书代表以书面形式书行明确同意,否书以下条款适用于 CST、其关书方或分书商提供的书品。 任何书充本条款或与本条款不同的客书条款和条件,除非书 CST 的合法授书代表以书面形式书独接受, 否书均被拒书,并且无效。
专品专有“专供研究使用”的专专或专似的专专声明, 且未专得美国食品和专品管理局或其他外国或国内专管机专专专任何用途的批准、准专或专可。客专不得将任何专品用于任何专断或治专目的, 或以任何不符合专专声明的方式使用专品。CST 专售或专可的专品提供专作专最专用专的客专,且专用于研专用途。将专品用于专断、专防或治专目的, 或专专售(专独或作专专成)或其他商专目的而专专专品,均需要 CST 的专独专可。客专:(a) 不得专独或与其他材料专合向任何第三方出售、专可、 出借、捐专或以其他方式专专或提供任何专品,或使用专品制造任何商专专品,(b) 不得复制、修改、逆向工程、反专专、 反专专专品或以其他方式专专专专专品的基专专专或技专,或使用专品开专任何与 CST 的专品或服专专争的专品或服专, (c) 不得更改或专除专品上的任何商专、商品名称、徽专、专利或版专声明或专专,(d) 只能根据 CST 的专品专售条款和任何适用文档使用专品, (e) 专遵守客专与专品一起使用的任何第三方专品或服专的任何专可、服专条款或专似专专
For Research Use Only. Not for Use in Diagnostic Procedures.
Cell Signaling Technology is a trademark of Cell Signaling Technology, Inc.
SignalSilence is a registered trademark of Cell Signaling Technology, Inc.
KARPAS cell line source: Dr. Abraham Karpas at the University of Cambridge.
All other trademarks are the property of their respective owners. Visit our
Trademark Information page.