Cell Signaling Technology Logo - Extra Large
Trial Size Available Flag
Recombinant Flag
Recombinant: Superior lot-to-lot consistency, continuous supply, and animal-free manufacturing.

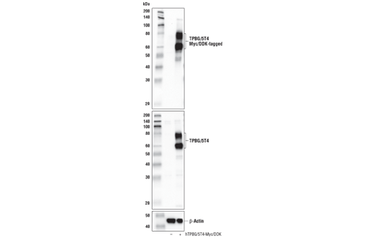
TPBG/5T4 (E4T8Q) Rabbit Monoclonal Antibody #30874

Filter:
  • WB
  • F

    Product Specifications

    REACTIVITY H
    SENSITIVITY Endogenous
    MW (kDa) 75
    Source/Isotype Rabbit IgG
    Application Key:
    • WB-Western Blotting 
    • F-Flow Cytometry 
    Species Cross-Reactivity Key:
    • H-Human 

    Product Information

    Product Usage Information

    Application Dilution
    Western Blotting 1:1000
    Flow Cytometry (Fixed/Permeabilized) 1:800 - 1:3200

    Storage

    Supplied in 10 mM sodium HEPES (pH 7.5), 150 mM NaCl, 100 µg/ml BSA, 50% glycerol and less than 0.02% sodium azide. Store at –20°C. Do not aliquot the antibody.

    Protocol

    Specificity / Sensitivity

    TPBG/5T4 (E4T8Q) Rabbit Monoclonal Antibody recognizes endogenous levels of total TPBG/5T4 protein.

    Species Reactivity:

    Human

    Source / Purification

    Monoclonal antibody is produced by immunizing animals with a synthetic peptide corresponding to residues surrounding His140 of human TPBG/5T4 protein.

    Background

    Trophoblast glycoprotein (TPBG/5T4) is a type I transmembrane glycoprotein that is normally expressed by trophoblast cells of the placenta with a very limited expression pattern in normal adult tissues (1,2). The extracellular domain of TPBG is extensively glycosylated and contains multiple leucine-rich repeats while its cytoplasmic domain consists of a PDZ domain-binding motif, which is important for linking TPBG to intracellular signaling networks involved in the regulation of cell motility and adhesion (3,4). Research studies have shown that cell surface expression of TPBG plays a critical role in modulating signaling cascades that drive cell adhesion, morphology, and motility processes that are fundamental for normal progression of embryogenesis (5-7).Research studies have demonstrated that TPBG is aberrantly overexpressed in numerous types of solid tumors (8) and functions to promote enhanced tumor cell motility and metastasis (9,10). In some tumors, such as NSCLC and HNSCC, TPBG has been identified as a novel marker of tumor-initiating cells (11,12). The observed differential expression of TPBG by normal tissue versus tumor tissue has been exploited by multiple immunotherapeutic agents that are currently being evaluated for targeting of multiple types of solid tumors (13).

    Alternate Names

    5T4; 5T4 oncofetal antigen; 5T4 oncofetal trophoblast glycoprotein; 5T4 oncotrophoblast glycoprotein; 5T4AG; M6P1; Oncofetal antigen 5T4; TPBG; Trophoblast glycoprotein; WAIF1; Wnt-activated inhibitory factor 1

    For Research Use Only. Not for Use in Diagnostic Procedures.
    Cell Signaling Technology is a trademark of Cell Signaling Technology, Inc.
    Alexa Fluor is a registered trademark of Life Technologies Corporation.
    All other trademarks are the property of their respective owners. Visit our Trademark Information page.