Render Target: STATIC
Render Timestamp:
5/28/2026, 7:49:45 PM EDT
5/28/2026, 11:49:45 PM UTC
Commit: 7ed46ecc04b401f23a28df741b5078df405d23e4
XML generation date: 2025-11-12 16:12:25.392
Product last modified at: 2026-03-20T08:05:19.994Z
Cell Signaling Technology Logo - Extra Large
1% for the planet logo
PDP - Template Name: Monoclonal Antibody
PDP - Template ID: *******c5e4b77
Trial Size Available Flag
Recombinant Flag
Recombinant: Superior lot-to-lot consistency, continuous supply, and animal-free manufacturing.

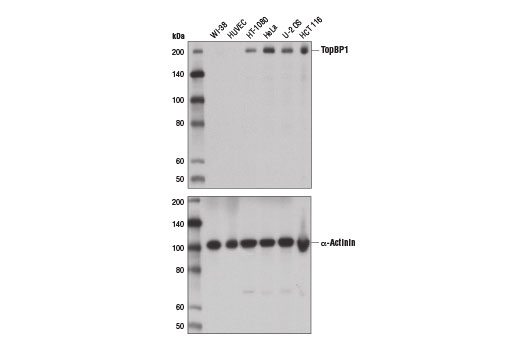
TopBP1 (D8G4L) Rabbit Monoclonal Antibody #14342

Filter:
  • WB
  • IP

    Product Specifications

    REACTIVITY H
    SENSITIVITY Endogenous
    MW (kDa) 170
    Source/Isotype Rabbit IgG
    Application Key:
    • WB-Western Blotting 
    • IP-Immunoprecipitation 
    Species Cross-Reactivity Key:
    • H-Human 

    Product Information

    Product Usage Information

    Application Dilution
    Western Blotting 1:1000
    Immunoprecipitation 1:100

    Storage

    Supplied in 10 mM sodium HEPES (pH 7.5), 150 mM NaCl, 100 µg/ml BSA, 50% glycerol and less than 0.02% sodium azide. Store at –20°C. Do not aliquot the antibody.

    实验步骤

    Specificity / Sensitivity

    TopBP1 (D8G4L) Rabbit Monoclonal Antibody recognizes endogenous levels of total TopBP1 protein.

    Species Reactivity:

    Human

    Source / Purification

    Monoclonal antibody is produced by immunizing animals with a synthetic peptide corresponding to residues surrounding Leu27 of human TopBP1 protein.

    Background

    Topoisomerase II Binding Protein 1 (TopBP1) contains eight BRCT domains, which facilitate interaction with various proteins, phosphopeptides, and DNA. Through these interactions, TopBP1 functions in the regulation of DNA replication, DNA repair, checkpoint control, and transcription (1). TopBP1 contacts the checkpoint kinase ATR and its binding partner ATRIP, and induces ATR and Chk1 activation in collaboration with claspin (2,3). Activation of ATR is dependent on recruitment of TopBP1 through the MRN (MRE11-RAD50-NBS1) complex, and the 911 (RAD9-RAD1-HUS1) complex is required for full activation (4). TopBP1 stabilizes Bloom syndrome helicase (BLM) during S phase of the cell cycle to suppress sister chromatin exchange and maintain genome stability (5).
    TopBP1 also regulates initiation of DNA replication along with the DNA replication factor treslin (6,7). TopBP1 has been shown to prevent replication associated DNA damage during neurogenesis (8), and to interact with mutant p53, mediating mutant p53 gain-of-function activity such as growth promotion and resistance to chemotherapeutic drugs (9). Phosphorylation of TopBP1 at Ser1159 by Akt regulates TopBP1 oligomerization and function in E2F1-dependent transcriptional regulation (10).

    Alternate Names

    DNA topoisomerase 2-binding protein 1; DNA topoisomerase II binding protein 1; DNA topoisomerase II-beta-binding protein 1; DNA topoisomerase II-binding protein 1; Dpb11; KIAA0259; TOP2BP1; TOPB1; TOPBP1; topoisomerase (DNA) II binding protein 1

    For Research Use Only. Not for Use in Diagnostic Procedures.
    Cell Signaling Technology is a trademark of Cell Signaling Technology, Inc.
    All other trademarks are the property of their respective owners. Visit our Trademark Information page.