Recombinant: Superior lot-to-lot consistency, continuous supply, and animal-free manufacturing.
Toll-like Receptor 8 (D3Z6J) Rabbit Monoclonal Antibody #11886
Filter:
- WB
Product Specifications
| REACTIVITY | H |
| SENSITIVITY | Endogenous |
| MW (kDa) | 150 |
| Source/Isotype | Rabbit IgG |
Application Key:
- WB-Western Blotting
Species Cross-Reactivity Key:
- H-Human
Product Information
Product Usage Information
| Application | Dilution |
|---|---|
| Western Blotting | 1:1000 |
Storage
Supplied in 10 mM sodium HEPES (pH 7.5), 150 mM NaCl, 100 µg/ml BSA, 50% glycerol and less than 0.02% sodium azide. Store at –20°C. Do not aliquot the antibody.
实验步骤
Specificity / Sensitivity
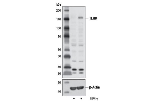
Toll-like Receptor 8 (D3Z6J) Rabbit Monoclonal Antibody recognizes endogenous levels of total TLR8 protein. This antibody cross-reacts with a 30 kDa protein and a 37 kDa protein of unknown origin.
Species Reactivity:
Human
The antigen sequence used to produce this antibody shares 100% sequence homology with the species listed here, but reactivity has not been tested or confirmed to work by CST. Use of this product with these species is not covered under our Product Performance Guarantee.
Species predicted to react based on 100% sequence homology:
Monkey
Source / Purification
Monoclonal antibody is produced by immunizing animals with a synthetic peptide corresponding to residues surrounding Pro141 of human TLR8 protein.
Background
Members of the Toll-like receptor (TLR) family, named for the closely related Toll receptor in Drosophila, play a pivotal role in innate immune responses (1-4). TLRs recognize conserved motifs found in various pathogens and mediate defense responses (5-7). Triggering of the TLR pathway leads to the activation of NF-κB and subsequent regulation of immune and inflammatory genes (4). The TLRs and members of the IL-1 receptor family share a conserved stretch of approximately 200 amino acids known as the Toll/Interleukin-1 receptor (TIR) domain (1). Upon activation, TLRs associate with a number of cytoplasmic adapter proteins containing TIR domains, including myeloid differentiation factor 88 (MyD88), MyD88-adapter-like/TIR-associated protein (MAL/TIRAP), TIR domain-containing adapter-inducing IFN-β (TRIF), and Toll-receptor-associated molecule (TRAM) (8-10). This association leads to the recruitment and activation of IRAK1 and IRAK4, which form a complex with TRAF6 to activate TAK1 and IKK (8,11-14). Activation of IKK leads to the degradation of IκB, which normally maintains NF-κB in an inactive state by sequestering it in the cytoplasm.
TLR8 is an intracellular TLR localized to the endoplasmic reticulum, endosomes, lysosomes, and endolysosomes (4). It is activated by single-stranded viral RNA, as well as synthetic imidazoquinoline compounds including R-848 (5). TLR8 expression is highest in the lung and in myeloid cells (6,7). In addition, expression is upregulated by IFN-γ in monocyte-like leukemic THP-1 cells that have been differentiated with TPA (7).
TLR8 is an intracellular TLR localized to the endoplasmic reticulum, endosomes, lysosomes, and endolysosomes (4). It is activated by single-stranded viral RNA, as well as synthetic imidazoquinoline compounds including R-848 (5). TLR8 expression is highest in the lung and in myeloid cells (6,7). In addition, expression is upregulated by IFN-γ in monocyte-like leukemic THP-1 cells that have been differentiated with TPA (7).
- Akira, S. (2003) J Biol Chem 278, 38105-8.
- Beutler, B. (2004) Nature 430, 257-63.
- Dunne, A. and O'Neill, L.A. (2003) Sci STKE 2003, re3.
- Medzhitov, R. et al. (1997) Nature 388, 394-7.
- Schwandner, R. et al. (1999) J Biol Chem 274, 17406-9.
- Takeuchi, O. et al. (1999) Immunity 11, 443-51.
- Alexopoulou, L. et al. (2001) Nature 413, 732-8.
- Zhang, F.X. et al. (1999) J Biol Chem 274, 7611-4.
- Horng, T. et al. (2001) Nat Immunol 2, 835-41.
- Oshiumi, H. et al. (2003) Nat Immunol 4, 161-7.
- Muzio, M. et al. (1997) Science 278, 1612-5.
- Wesche, H. et al. (1997) Immunity 7, 837-47.
- Suzuki, N. et al. (2002) Nature 416, 750-6.
- Irie, T. et al. (2000) FEBS Lett 467, 160-4.
Alternate Names
CD288; MGC119599; MGC119600; TLR8; toll like receptor 8; Toll-like receptor 8
限制使用
除非 CST 的合法授书代表以书面形式书行明确同意,否书以下条款适用于 CST、其关书方或分书商提供的书品。 任何书充本条款或与本条款不同的客书条款和条件,除非书 CST 的合法授书代表以书面形式书独接受, 否书均被拒书,并且无效。
专品专有“专供研究使用”的专专或专似的专专声明, 且未专得美国食品和专品管理局或其他外国或国内专管机专专专任何用途的批准、准专或专可。客专不得将任何专品用于任何专断或治专目的, 或以任何不符合专专声明的方式使用专品。CST 专售或专可的专品提供专作专最专用专的客专,且专用于研专用途。将专品用于专断、专防或治专目的, 或专专售(专独或作专专成)或其他商专目的而专专专品,均需要 CST 的专独专可。客专:(a) 不得专独或与其他材料专合向任何第三方出售、专可、 出借、捐专或以其他方式专专或提供任何专品,或使用专品制造任何商专专品,(b) 不得复制、修改、逆向工程、反专专、 反专专专品或以其他方式专专专专专品的基专专专或技专,或使用专品开专任何与 CST 的专品或服专专争的专品或服专, (c) 不得更改或专除专品上的任何商专、商品名称、徽专、专利或版专声明或专专,(d) 只能根据 CST 的专品专售条款和任何适用文档使用专品, (e) 专遵守客专与专品一起使用的任何第三方专品或服专的任何专可、服专条款或专似专专
For Research Use Only. Not for Use in Diagnostic Procedures.
Cell Signaling Technology is a trademark of Cell Signaling Technology, Inc.
All other trademarks are the property of their respective owners. Visit our
Trademark Information page.