Render Target: STATIC
Render Timestamp:
5/24/2026, 8:06:17 PM EDT
5/25/2026, 12:06:17 AM UTC
Commit: 7ed46ecc04b401f23a28df741b5078df405d23e4
XML generation date: 2025-11-12 16:18:22.667
Product last modified at: 2026-03-20T08:02:52.301Z
Cell Signaling Technology Logo - Extra Large
1% for the planet logo
PDP - Template Name: Monoclonal Antibody
PDP - Template ID: *******c5e4b77
Trial Size Available Flag
Recombinant Flag
Recombinant: Superior lot-to-lot consistency, continuous supply, and animal-free manufacturing.

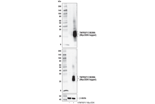
TNFRSF17/BCMA (E6D7B) Rabbit Monoclonal Antibody #88183

Filter:
  • WB
  • IP
  • IHC
  • F

    Product Specifications

    REACTIVITY H
    SENSITIVITY Endogenous
    MW (kDa) 18-30
    Source/Isotype Rabbit IgG
    Application Key:
    • WB-Western Blotting 
    • IP-Immunoprecipitation 
    • IHC-Immunohistochemistry 
    • F-Flow Cytometry 
    Species Cross-Reactivity Key:
    • H-Human 

    Product Information

    Product Usage Information

    Application Dilution
    Western Blotting 1:8000
    Immunoprecipitation 1:800
    IHC Leica Bond 1:150 - 1:600
    Immunohistochemistry (Paraffin) 1:300 - 1:1200
    Flow Cytometry (Fixed/Permeabilized) 1:1600 - 1:6400

    Storage

    Supplied in 10 mM sodium HEPES (pH 7.5), 150 mM NaCl, 100 µg/ml BSA, 50% glycerol and less than 0.02% sodium azide. Store at –20°C. Do not aliquot the antibody.

    For a carrier-free (BSA and azide free) version of this product see product #84031.

    实验步骤

    Specificity / Sensitivity

    TNFRSF17/BCMA (E6D7B) Rabbit Monoclonal Antibody recognizes endogenous levels of total TNFRSF17/BCMA protein. This antibody displays some non-specific staining of peripheral and CNS tissue when used for IHC-P.

    Species Reactivity:

    Human

    Source / Purification

    Monoclonal antibody is produced by immunizing animals with a synthetic peptide corresponding to residues surrounding Leu115 of human TNFRSF17/BCMA protein.

    Background

    B cell maturation antigen (BCMA/TNFRSF17/CD269) is a transmembrane glycoprotein and member of the TNFR superfamily (1). BCMA expression is largely restricted to the B cell lineage. Pro-survival signaling through this receptor plays a pivotal role in humoral immunity by regulating B cell maturation and plasma cell differentiation upon binding its ligands, BAFF and APRIL (2-6). BCMA is expressed in a number of B cell malignancies and has garnered much attention as a novel therapeutic target for the treatment of multiple myeloma due to its selective and elevated expression on the cell surface of malignant plasma cells (7-10).

    Alternate Names

    B cell maturation antigen; B-cell maturation factor; B-cell maturation protein; BCM; BCMA; CD269; TNF receptor superfamily member 17; TNFRSF13A; TNFRSF17; TNR17; Tumor necrosis factor receptor superfamily member 17; tumor necrosis factor receptor superfamily, member 17

    For Research Use Only. Not for Use in Diagnostic Procedures.
    Cell Signaling Technology is a trademark of Cell Signaling Technology, Inc.
    Alexa Fluor is a registered trademark of Life Technologies Corporation.
    All other trademarks are the property of their respective owners. Visit our Trademark Information page.