Cell Signaling Technology Logo - Extra Large

TLE1/2/3/4 Antibody #4681

Filter:
  • WB

    Product Specifications

    REACTIVITY H M Mk Dm
    SENSITIVITY Endogenous
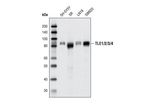
    MW (kDa) 78-90
    SOURCE Rabbit
    Application Key:
    • WB-Western Blotting 
    Species Cross-Reactivity Key:
    • H-Human 
    • M-Mouse 
    • Mk-Monkey 
    • Dm-D. melanogaster 

    Product Information

    Product Usage Information

    Application Dilution
    Western Blotting 1:1000

    Storage

    Supplied in 10 mM sodium HEPES (pH 7.5), 150 mM NaCl, 100 µg/ml BSA and 50% glycerol. Store at –20°C. Do not aliquot the antibody.

    实验步骤

    Specificity / Sensitivity

    TLE1/2/3/4 Antibody detects endogenous levels of TLE1, TLE2, TLE3, and TLE4 proteins. Based on homology this antibody should also recognize TLE1 and TLE2 of Zebra fish, TLE2 of Xenopus, and Groucho of Drosophila.

    Species Reactivity:

    Human, Mouse, Monkey, D. melanogaster

    The antigen sequence used to produce this antibody shares 100% sequence homology with the species listed here, but reactivity has not been tested or confirmed to work by CST. Use of this product with these species is not covered under our Product Performance Guarantee.

    Species predicted to react based on 100% sequence homology:

    Rat, Xenopus, Zebrafish

    Source / Purification

    Polyclonal antibodies are produced by immunizing animals with a synthetic peptide corresponding to residues surrounding Asp760 of human TLE1. Antibodies are purified by peptide affinity chromatography.

    Background

    Transducin-like enhancer of split proteins (TLE1, TLE2, TLE3, TLE4, and TLE6) are mammalian homologs of Drosophila Groucho (1). TLEs contain several WD-repeats implicated in protein-protein interaction (2,3). TLEs are transcriptional co-repressors that bind to many transcription factors, such as LEF1, Runx1, Oct-1, hepatocyte nuclear factor 3-β as well as histone H3 (4-7). TLEs are differentially expressed during animal development and may have overlapping as well as distinct functions (8).

    Alternate Names

    B lymphocyte gene 1; BCE-1; BCE1; E(Sp1) homolog; E(spI); E(spl); enhancer of split groucho 1; enhancer of split groucho 2; enhancer of split groucho 3; enhancer of split groucho 4; Enhancer of split groucho-like protein 1; Enhancer of split groucho-like protein 2; Enhancer of split groucho-like protein 3; ESG; ESG1; ESG2; ESG3; ESG4; FLJ39460; FLJ41188; Grg-4; GRG1; GRG2; GRG3; GRG4; Groucho-related protein 4; HsT18976; KIAA1261; KIAA1547; Protein BCE-1; TLE family member 1, transcriptional corepressor; TLE family member 2, transcriptional corepressor; TLE family member 3, transcriptional corepressor; TLE family member 4, transcriptional corepressor; TLE1; TLE2; TLE3; TLE4; transducin like enhancer of split 1; transducin like enhancer of split 2; transducin like enhancer of split 3; transducin like enhancer of split 4; transducin-like enhancer of split 1 (E(sp1) homolog, Drosophila); transducin-like enhancer of split 1, homolog of Drosophila E(sp1); transducin-like enhancer of split 2 (E(sp1) homolog, Drosophila); transducin-like enhancer of split 2, homolog of Drosophila E(sp1); transducin-like enhancer of split 3 (E(sp1) homolog, Drosophila); transducin-like enhancer of split 3, homolog of Drosophila E(sp1); transducin-like enhancer of split 4; transducin-like enhancer of split 4 (E(sp1) homolog, Drosophila); transducin-like enhancer of split 4, homolog of Drosophila E(sp1); Transducin-like enhancer protein 1; Transducin-like enhancer protein 2; Transducin-like enhancer protein 3; Transducin-like enhancer protein 4

    For Research Use Only. Not for Use in Diagnostic Procedures.
    Cell Signaling Technology is a trademark of Cell Signaling Technology, Inc.
    All other trademarks are the property of their respective owners. Visit our Trademark Information page.