Render Target: STATIC
Render Timestamp:
5/28/2026, 7:47:45 PM EDT
5/28/2026, 11:47:45 PM UTC
Commit: 7ed46ecc04b401f23a28df741b5078df405d23e4
XML generation date: 2025-11-12 16:18:29.145
Product last modified at: 2026-03-20T08:02:42.251Z
Cell Signaling Technology Logo - Extra Large
1% for the planet logo
PDP - Template Name: Monoclonal Antibody
PDP - Template ID: *******c5e4b77
Recombinant Flag
Recombinant: Superior lot-to-lot consistency, continuous supply, and animal-free manufacturing.

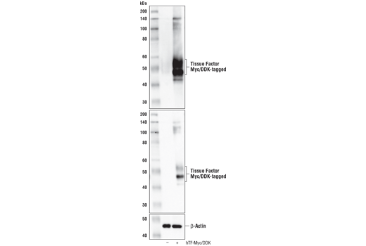
Tissue Factor/CD142 (E9M6T) Rabbit Monoclonal Antibody (BSA and Azide Free) #89527

Filter:
  • WB
  • IHC

    Product Specifications

    REACTIVITY H
    SENSITIVITY Endogenous
    MW (kDa) 45-53
    Source/Isotype Rabbit IgG
    Application Key:
    • WB-Western Blotting 
    • IHC-Immunohistochemistry 
    Species Cross-Reactivity Key:
    • H-Human 

    Product Information

    Product Usage Information

    This product is the carrier free version of product #97438. All data were generated using the same antibody clone in the standard formulation which contains BSA and glycerol.

    This formulation is ideal for use with technologies requiring specialized or custom antibody labeling, including fluorophores, metals, lanthanides, and oligonucleotides. It is not recommended for ChIP, ChIP-seq, CUT&RUN or CUT&Tag assays. If you require a carrier free formulation for chromatin profiling, please contact us. Optimal dilutions/concentrations should be determined by the end user.

    BSA and Azide Free antibodies are quality control tested by size exclusion chromatography (SEC) to determine antibody integrity.

    Formulation

    Supplied in 1X PBS (10 mM Na2HPO4, 3 mM KCl, 2 mM KH2PO4, and 140 mM NaCl (pH 7.8)). BSA and Azide Free.

    For standard formulation of this product see product #97438

    Storage

    Store at -20°C. This product will freeze at -20°C so it is recommended to aliquot into single-use vials to avoid multiple freeze/thaw cycles. A slight precipitate may be present and can be dissolved by gently vortexing. This will not interfere with antibody performance.

    Specificity / Sensitivity

    Tissue Factor/CD142 (E9M6T) Rabbit Monoclonal Antibody (BSA and Azide Free) recognizes endogenous levels of total Tissue Factor/CD142 protein.

    Species Reactivity:

    Human

    Source / Purification

    Monoclonal antibody is produced by immunizing animals with a synthetic peptide corresponding to residues surrounding Glu123 of human Tissue Factor/CD142 protein.

    Background

    Tissue Factor (TF)/CD142 (Coagulation factor III/Thromboplastin) is a type-I transmembrane glycoprotein that serves as the cell surface receptor and cofactor for blood coagulation factors VII and VIIa, and thus plays a central role in hemostasis and thrombosis (1). The TF:VIIa receptor-ligand complex is widely recognized as the initiator of the extrinsic blood coagulation protease cascade, which ultimately leads to the generation of fibrin and thrombin (1). A member of the type-II cytokine receptor superfamily, TF has also been shown to engage the PI3K (2) and MAPK (3) signaling cascades upon binding to factor VIIa in order to drive cellular responses such as cell migration, growth, and proliferation. Although the function of TF under physiologic conditions is to coordinate blood clotting in response to tissue damage, TF is implicated in pathologic conditions such as tumorigenesis. Indeed, TF is aberrantly expressed in colorectal cancer, breast cancer, pancreatic cancer, and glioblastoma multiforme (4). It has been shown to promote tumor angiogenesis, tumor growth, metastasis, and venous thrombosis (5). Given that TF overexpression is associated with numerous types of solid tumors, it has garnered much attention as a potential therapeutic target.

    Alternate Names

    CD142; Coagulation factor III; coagulation factor III (thromboplastin, tissue factor); coagulation factor III, tissue factor; F3; TF; TFA; Thromboplastin; Tissue factor

    For Research Use Only. Not for Use in Diagnostic Procedures.
    Cell Signaling Technology is a trademark of Cell Signaling Technology, Inc.
    SignalStain is a registered trademark of Cell Signaling Technology, Inc.
    All other trademarks are the property of their respective owners. Visit our Trademark Information page.