Cell Signaling Technology Logo - Extra Large
Trial Size Available Flag
Recombinant Flag
Recombinant: Superior lot-to-lot consistency, continuous supply, and animal-free manufacturing.

TIM-4 (D3W4F) Rabbit Monoclonal Antibody #75484

Filter:
  • WB
  • IHC
  • F

    Product Specifications

    REACTIVITY H
    SENSITIVITY Endogenous (IHC-P), Transfected (W, F)
    MW (kDa) 40-60
    Source/Isotype Rabbit IgG
    Application Key:
    • WB-Western Blotting 
    • IHC-Immunohistochemistry 
    • F-Flow Cytometry 
    Species Cross-Reactivity Key:
    • H-Human 

    Product Information

    Product Usage Information

    Application Dilution
    Western Blotting 1:1000
    IHC Leica Bond 1:100
    Immunohistochemistry (Paraffin) 1:100
    Flow Cytometry (Live) 1:800

    Storage

    Supplied in 10 mM sodium HEPES (pH 7.5), 150 mM NaCl, 100 µg/ml BSA, 50% glycerol and less than 0.02% sodium azide. Store at –20°C. Do not aliquot the antibody.

    For a carrier-free (BSA and azide free) version of this product see product #27337.

    实验步骤

    Specificity / Sensitivity

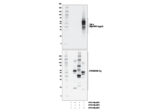
    TIM-4 (D3W4F) Rabbit Monoclonal Antibody recognizes endogenous levels of total TIM-4 protein. This antibody does not cross-react with TIM-1 or TIM-3.

    Species Reactivity:

    Human

    Source / Purification

    Monoclonal antibody is produced by immunizing animals with a synthetic peptide corresponding to residues surrounding Pro215 of human TIM-4 protein.

    Background

    T cell Ig- and mucin-domain-containing molecules (TIMs) are a family of transmembrane proteins expressed by various immune cells. TIM-4 is expressed by dendritic cells and macrophages (1). Like TIM-1, TIM-4 is a receptor for phosphatidylserine (2). Interaction of TIM-4 with phosphatidylserine exposed by cells undergoing apoptosis leads to uptake of apoptotic cells (2,3). In this way, TIM-4 regulates adaptive immunity by removing apoptotic antigen-specific T cells following clearance of infection. Peritoneal macrophages from mice deficient in TIM-4 fail to effectively clear apoptotic cells leading to hyperactive T and B cells and autoimmunity (4). In addition, TIM-4 expressed by tumor-associated macrophages and dendritic cells leads to autophagy-mediated degradation of dying tumor cells, resulting in reduced antigen presentation and T cell responses (5). TIM-4 was also identified as a ligand for TIM-1, and interaction between these proteins regulates T cell proliferation (1). Finally, TIM-4 is expressed by a subset of proinflammatory B cells that produce IFN-γ and promote Th1 cell differentiation (6).

    Alternate Names

    FLJ27515; SMUCKLER; T cell immunoglobulin and mucin domain containing 4; T-cell immunoglobulin and mucin domain containing 4; T-cell immunoglobulin and mucin domain-containing protein 4; T-cell immunoglobulin mucin receptor 4; T-cell membrane protein 4; TIM-4; TIM4; TIMD-4; TIMD4

    For Research Use Only. Not for Use in Diagnostic Procedures.
    Cell Signaling Technology is a trademark of Cell Signaling Technology, Inc.
    Alexa Fluor is a registered trademark of Life Technologies Corporation.
    The transfer of this product is contingent on the buyer using the purchased product solely in research conducted by the buyer (whether the buyer is an academic or for-profit entity), for Immunocytochemistry, high content screening (HCS) analysis, or flow cytometry applications. The sale of this product is expressly conditioned on the buyer not using the product or its components (1) in manufacturing; (2) to provide a service, information, or data to an unaffiliated third party for payment; (3) for therapeutic, diagnostic or prophylactic purposes; (4) resale, whether or not such product or its components are resold for use in research; or for any other commercial purpose. For information on purchasing a license to this product for purposes other than research, contact Life Technologies Corporation, 5791 Van Allen Way, Carlsbad, CA 92008 USA or [email protected].
    All other trademarks are the property of their respective owners. Visit our Trademark Information page.