Cell Signaling Technology Logo - Extra Large
Trial Size Available Flag
Recombinant Flag
Recombinant: Superior lot-to-lot consistency, continuous supply, and animal-free manufacturing.

TIA-1 (D1Q3K) Rabbit Monoclonal Antibody #86050

Filter:
  • WB
  • IP

    Product Specifications

    REACTIVITY H
    SENSITIVITY Endogenous
    MW (kDa) 42, 44
    Source/Isotype Rabbit IgG
    Application Key:
    • WB-Western Blotting 
    • IP-Immunoprecipitation 
    Species Cross-Reactivity Key:
    • H-Human 

    Product Information

    Product Usage Information

    Application Dilution
    Western Blotting 1:1000
    Immunoprecipitation 1:100

    Storage

    Supplied in 10 mM sodium HEPES (pH 7.5), 150 mM NaCl, 100 µg/ml BSA, 50% glycerol and less than 0.02% sodium azide. Store at –20°C. Do not aliquot the antibody.

    Protocol

    Specificity / Sensitivity

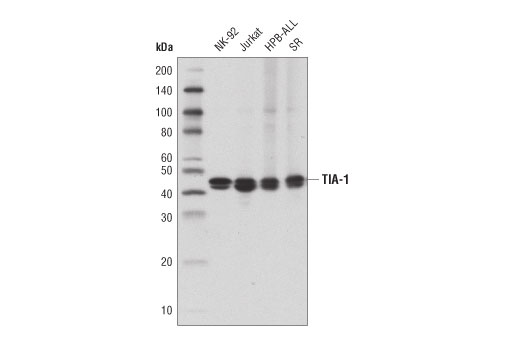
    TIA-1 (D1Q3K) Rabbit Monoclonal Antibody recognizes endogenous levels of total TIA-1 protein.

    Species Reactivity:

    Human

    Source / Purification

    Monoclonal antibody is produced by immunizing animals with a synthetic peptide corresponding to residues near the carboxy terminus of human TIA-1 protein.

    Background

    T-cell intracellular antibody 1 (TIA-1) is a member of the RNA-recognition motif (RRM) family of RNA-binding proteins that was originally found to induce DNA fragmentation in digitonin-permeabilized thymocytes (1). TIA-1 protein has about 80% identity to the related TIAR protein, both of which possess three amino-terminal RRM domains and a glutamine-rich carboxyl terminus (1,2). Alternative splicing is responsible for generating at least two isoforms of TIA-1 and TIAR (3,4). Several research studies indicate that TIA-1 and TIAR play a role in apoptosis, cellular stress, and inflammation. Importantly, TIA-1 and TIAR translocate from the nucleus to stress granules in response to a variety of environmental stresses (5-8). Stress granules function as sites of translational repression in response to potentially damaging conditions. mRNA transcripts targeted by TIA-1 and TIAR include TNF-α, Cox2, cytochrome c, GADD45α, and HIF-1α (8-13).

    Alternate Names

    Cytotoxic granule associated RNA binding protein TIA1; cytotoxic granule-associated RNA-binding protein; nucleolysin TIA-1; Nucleolysin TIA-1 isoform p15; Nucleolysin TIA-1 isoform p40; p15-TIA-1; p40-TIA-1; p40-TIA-1 (containing p15-TIA-1); RNA-binding protein TIA-1; T-cell-restricted intracellular antigen-1; TIA-1; TIA1; TIA1 cytotoxic granule associated RNA binding protein; TIA1 cytotoxic granule-associated RNA binding protein; TIA1 cytotoxic granule-associated RNA-binding protein; WDM

    For Research Use Only. Not for Use in Diagnostic Procedures.
    Cell Signaling Technology is a trademark of Cell Signaling Technology, Inc.
    KARPAS cell line source: Dr. Abraham Karpas at the University of Cambridge.
    All other trademarks are the property of their respective owners. Visit our Trademark Information page.