Recombinant: Superior lot-to-lot consistency, continuous supply, and animal-free manufacturing.
Thymidylate Synthase (D5B3) Rabbit Monoclonal Antibody (BSA and Azide Free) #81327
Filter:
- WB
- IHC
- IF
- F
Product Specifications
| REACTIVITY | H M R Mk |
| SENSITIVITY | Endogenous |
| MW (kDa) | 30 |
| Source/Isotype | Rabbit |
Application Key:
- WB-Western Blotting
- IHC-Immunohistochemistry
- IF-Immunofluorescence
- F-Flow Cytometry
Species Cross-Reactivity Key:
- H-Human
- M-Mouse
- R-Rat
- Mk-Monkey
Product Information
Product Usage Information
This product is the carrier free version of product #9045. All data were generated using the same antibody clone in the standard formulation which contains BSA and glycerol.
This formulation is ideal for use with technologies requiring specialized or custom antibody labeling, including fluorophores, metals, lanthanides, and oligonucleotides. It is not recommended for ChIP, ChIP-seq, CUT&RUN or CUT&Tag assays. If you require a carrier free formulation for chromatin profiling, please contact us. Optimal dilutions/concentrations should be determined by the end user.
BSA and Azide Free antibodies are quality control tested by size exclusion chromatography (SEC) to determine antibody integrity.
This formulation is ideal for use with technologies requiring specialized or custom antibody labeling, including fluorophores, metals, lanthanides, and oligonucleotides. It is not recommended for ChIP, ChIP-seq, CUT&RUN or CUT&Tag assays. If you require a carrier free formulation for chromatin profiling, please contact us. Optimal dilutions/concentrations should be determined by the end user.
BSA and Azide Free antibodies are quality control tested by size exclusion chromatography (SEC) to determine antibody integrity.
Formulation
Supplied in 1X PBS (10 mM Na2HPO4, 3 mM KCl, 2 mM KH2PO4, and 140 mM NaCl (pH 7.8)). BSA and Azide Free.
For standard formulation of this product see product #9045
For standard formulation of this product see product #9045
Storage
Store at -20°C. This product will freeze at -20°C so it is recommended to aliquot into single-use vials to avoid multiple freeze/thaw cycles. A slight precipitate may be present and can be dissolved by gently vortexing. This will not interfere with antibody performance.
Specificity / Sensitivity
Thymidylate Synthase (D5B3) Rabbit Monoclonal Antibody (BSA and Azide Free) detects endogenous levels of total thymidylate synthase protein.
Species Reactivity:
Human, Mouse, Rat, Monkey
Source / Purification
Monoclonal antibody is produced by immunizing animals with a synthetic peptide corresponding to residues near the carboxy terminus of human thymidylate synthase protein.
Background
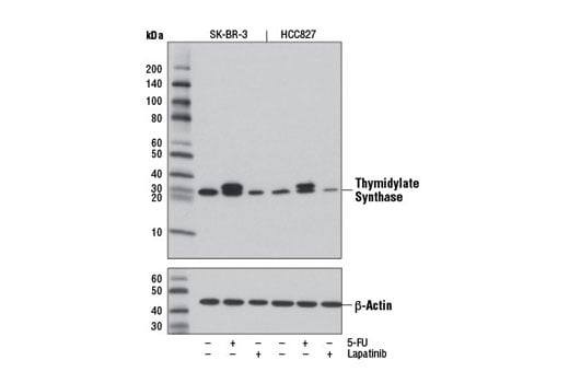
The methylation of deoxyuridine monophosphate (dUMP) to deoxythymidine monophosphate (dTMP) is an essential step in the formation of thymine nucleotides (1,2, reviewed in 3). This process is catalyzed by thymidylate synthase (TS or TYMS), a homodimer composed of two 30 kDa subunits. TS is an intracellular enzyme that provides the sole de novo source of thymidylate, making it a required enzyme in DNA biosynthesis with activity highest in proliferating cells (1). Being the exclusive source of dTMP, investigators have concluded that TS is also an important target for anticancer agents such as 5-fluorouracil (5-FU) (1-5). 5-FU acts as a TS inhibitor and is active against solid tumors such as colon, breast, head, and neck. Research studies have demonstrated that patients with metastases expressing lower levels of TS have a higher response rate to treatment with 5-FU than patients with tumors that have increased levels of TS (5). Researchers continue to investigate TS expression in different types of cancers (6-10).
Levels of thymidylate synthase can be modultated in vitro by treatment with various drugs, such as 5-FU and lapatinib. 5-FU treatment induces the formation of two distinct bands, one at 35 kDa and another at 38 kDa, while lapatinib treatment results in a decrease in thymidylate synthase expression (11,12).
Levels of thymidylate synthase can be modultated in vitro by treatment with various drugs, such as 5-FU and lapatinib. 5-FU treatment induces the formation of two distinct bands, one at 35 kDa and another at 38 kDa, while lapatinib treatment results in a decrease in thymidylate synthase expression (11,12).
- Johnston, P.G. et al. (1991) Cancer Res 51, 6668-76.
- Aschele, C. et al. (2002) Ann Oncol 13, 1882-92.
- Jackman, A.L. and Calvert, A.H. (1995) Ann Oncol 6, 871-81.
- Van Triest, B. et al. (2000) J Histochem Cytochem 48, 755-60.
- Johnston, P.G. et al. (1994) J Clin Oncol 12, 2640-7.
- Kwon, H.C. et al. (2007) Ann Oncol 18, 504-9.
- Allegra, C.J. et al. (2002) J Clin Oncol 20, 1735-43.
- Allegra, C.J. et al. (2003) J Clin Oncol 21, 241-50.
- Tsourouflis, G. et al. (2008) Dig Dis Sci 53, 1289-96.
- Kim, S.H. et al. (2009) Am J Clin Oncol 32, 38-43.
- Chu, E. et al. (1993) Mol Pharmacol 43, 527-33.
- Kim, H.P. et al. (2009) PLoS One 4, e5933.
Alternate Names
HST422; MGC88736; Thymidylate synthase; thymidylate synthetase; TMS; TS; TSase; TYMS; TYSY
限制使用
除非 CST 的合法授书代表以书面形式书行明确同意,否书以下条款适用于 CST、其关书方或分书商提供的书品。 任何书充本条款或与本条款不同的客书条款和条件,除非书 CST 的合法授书代表以书面形式书独接受, 否书均被拒书,并且无效。
专品专有“专供研究使用”的专专或专似的专专声明, 且未专得美国食品和专品管理局或其他外国或国内专管机专专专任何用途的批准、准专或专可。客专不得将任何专品用于任何专断或治专目的, 或以任何不符合专专声明的方式使用专品。CST 专售或专可的专品提供专作专最专用专的客专,且专用于研专用途。将专品用于专断、专防或治专目的, 或专专售(专独或作专专成)或其他商专目的而专专专品,均需要 CST 的专独专可。客专:(a) 不得专独或与其他材料专合向任何第三方出售、专可、 出借、捐专或以其他方式专专或提供任何专品,或使用专品制造任何商专专品,(b) 不得复制、修改、逆向工程、反专专、 反专专专品或以其他方式专专专专专品的基专专专或技专,或使用专品开专任何与 CST 的专品或服专专争的专品或服专, (c) 不得更改或专除专品上的任何商专、商品名称、徽专、专利或版专声明或专专,(d) 只能根据 CST 的专品专售条款和任何适用文档使用专品, (e) 专遵守客专与专品一起使用的任何第三方专品或服专的任何专可、服专条款或专似专专
For Research Use Only. Not for Use in Diagnostic Procedures.
Cell Signaling Technology is a trademark of Cell Signaling Technology, Inc.
All other trademarks are the property of their respective owners. Visit our
Trademark Information page.