Cell Signaling Technology Logo - Extra Large
Trial Size Available Flag
Recombinant Flag
Recombinant: Superior lot-to-lot consistency, continuous supply, and animal-free manufacturing.

Thioredoxin 1 (C63C6) Rabbit Monoclonal Antibody #2429

Filter:
  • WB
  • IHC

    Product Specifications

    REACTIVITY H M R
    SENSITIVITY Endogenous
    MW (kDa) 12
    Source/Isotype Rabbit IgG
    Application Key:
    • WB-Western Blotting 
    • IHC-Immunohistochemistry 
    Species Cross-Reactivity Key:
    • H-Human 
    • M-Mouse 
    • R-Rat 

    Product Information

    Product Usage Information

    Application Dilution
    Western Blotting 1:1000
    Immunohistochemistry (Paraffin) 1:400

    Storage

    Supplied in 10 mM sodium HEPES (pH 7.5), 150 mM NaCl, 100 µg/ml BSA, 50% glycerol and less than 0.02% sodium azide. Store at –20°C. Do not aliquot the antibody.

    For a carrier free (BSA and azide free) version of this product see product #78132.

    Protocol

    Specificity / Sensitivity

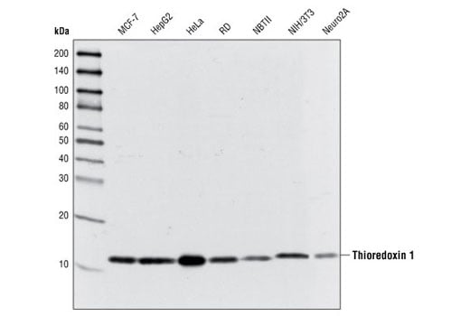
    Thioredoxin 1 (C63C6) Rabbit Monoclonal Antibody detects endogenous levels of total thioredoxin 1 protein.

    Species Reactivity:

    Human, Mouse, Rat

    Source / Purification

    Thioredoxin 1 (C63C6) Rabbit mAb is produced by immunizing rabbits with a synthetic peptide corresponding to residues surrounding Ala9 of human thioredoxin 1.

    Background

    Thioredoxin is a small redox protein found in many eukaryotes and prokaryotes. A pair of cysteines within a highly conserved, active site sequence can be oxidized to form a disulfide bond that is then reduced by thioredoxin reductase (1). Multiple forms of thioredoxin have been identified, including cytosolic thioredoxin 1 (TRX1) and mitochondrial thioredoxin 2 (TRX2). Thioredoxin participates in many cellular processes including redox signaling, response to oxidative stress, and protein reduction (1). A potential role of thioredoxin in human disorders such as cancer, aging, and heart disease is currently under investigation (2). Thioredoxin can play a key role in cancer progression, because it acts as a negative regulator of the proapoptotic kinase ASK1 (3). Changes in thioredoxin expression have been associated with meningococcal septic shock and acute lung injury (4,5).

    Alternate Names

    ADF; ATL-derived factor; DKFZp686B1993; MGC61975; SASP; Surface-associated sulphydryl protein; testicular tissue protein Li 199; THIO; Thioredoxin; thioredoxin delta 3; TRDX; TRX; TRX1; TXN; TXN delta 3

    For Research Use Only. Not for Use in Diagnostic Procedures.
    Cell Signaling Technology is a trademark of Cell Signaling Technology, Inc.
    U.S. Patent No. 7,429,487, foreign equivalents, and child patents deriving therefrom.
    All other trademarks are the property of their respective owners. Visit our Trademark Information page.