Cell Signaling Technology Logo - Extra Large
Trial Size Available Flag
Recombinant Flag
Recombinant: Superior lot-to-lot consistency, continuous supply, and animal-free manufacturing.

TGF-beta Receptor I (F6L3I) Rabbit Monoclonal Antibody #49728

Filter:
  • WB
  • IP

    Product Specifications

    REACTIVITY H M R
    SENSITIVITY Endogenous
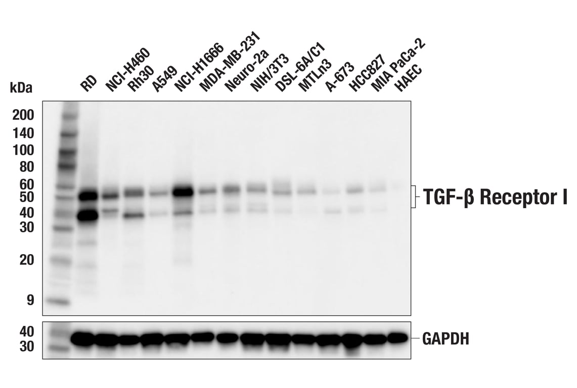
    MW (kDa) 55, 40
    Source/Isotype Rabbit IgG
    Application Key:
    • WB-Western Blotting 
    • IP-Immunoprecipitation 
    Species Cross-Reactivity Key:
    • H-Human 
    • M-Mouse 
    • R-Rat 

    Product Information

    Product Usage Information

    Application Dilution
    Western Blotting 1:1000
    Simple Western™ 1:10 - 1:50
    Immunoprecipitation 1:100

    Storage

    Supplied in 10 mM sodium HEPES (pH 7.5), 150 mM NaCl, 100 µg/mL BSA, 50% glycerol, and less than 0.02% sodium azide. Store at –20°C. Do not aliquot the antibody.

    实验步骤

    Specificity / Sensitivity

    TGF-beta Receptor I (F6L3I) Rabbit Monoclonal Antibody recognizes endogenous levels of total TGF-β Receptor I protein. This antibody recognizes both the full-length protein (UniProt #P36897) and a 40 kDa C-terminal fragment resulting from the shedding of the extracellular domain. This antibody does not cross-react with TGF-β Receptor II, TGF-β Receptor III, or Activin Receptor Type 1.

    Species Reactivity:

    Human, Mouse, Rat

    Source / Purification

    Monoclonal antibody is produced by immunizing animals with a synthetic peptide corresponding to residues surrounding Pro164 of human TGF-β Receptor I protein.

    Background

    Transforming growth factor-β (TGF-β) proteins belong to the TGF-β superfamily of cytokines that play a critical role in regulating cell proliferation and differentiation, developmental patterning and morphogenesis, and disease pathogenesis (1-3). TGF-β ligands elicit signaling through three cell surface receptors: type I (RI), type II (RII), and type III (RIII) TGF-β receptors. Type I and type II receptors are serine/threonine kinases that form a heteromeric complex following ligand binding to the type II receptor. In response to ligand binding, the type II receptors form a stable complex with the type I receptors, triggering phosphorylation and activation of the type I receptor (4). This results in the recruitment of receptor-mediated SMADs (SMAD2, SMAD3), which are phosphorylated by the type I kinase in an SSXS domain in the C-terminus. This leads to recruitment of the co-SMAD (SMAD4), and subsequent translocation of this heteromeric SMAD complex to the nucleus, where it regulates transcription of target genes (5-7). The type III receptor, also known as betaglycan, is a transmembrane proteoglycan with a large extracellular domain that binds TGF-β with high affinity but lacks a cytoplasmic signaling domain. Expression of the type III receptor can regulate TGF-β signaling through presentation of the ligand to the signaling complex (8).

    Alternate Names

    AAT5; activin A receptor type II-like kinase, 53kD; activin A receptor type II-like kinase, 53kDa; Activin A receptor type II-like protein kinase of 53kD; Activin receptor-like kinase 5; ACVRLK4; ALK-5; ALK5; ESS1; LDS1; LDS1A; LDS2A; MSSE; mutant transforming growth factor beta receptor I; Serine/threonine-protein kinase receptor R4; SKR4; TbetaR-I; TBR-i; TBRI; TGF-beta Receptor I; TGF-beta receptor type I; TGF-beta receptor type-1; TGF-beta type I receptor; TGFBR1; TGFR-1; TGFR1; transforming growth factor beta receptor 1; transforming growth factor beta receptor I; Transforming growth factor-beta receptor type I; transforming growth factor, beta receptor 1; transforming growth factor, beta receptor I (activin A receptor type II-like kinase, 53kD)

    For Research Use Only. Not for Use in Diagnostic Procedures.
    Cell Signaling Technology is a trademark of Cell Signaling Technology, Inc.
    All other trademarks are the property of their respective owners. Visit our Trademark Information page.