Cell Signaling Technology Logo - Extra Large
Trial Size Available Flag
Recombinant Flag
Recombinant: Superior lot-to-lot consistency, continuous supply, and animal-free manufacturing.

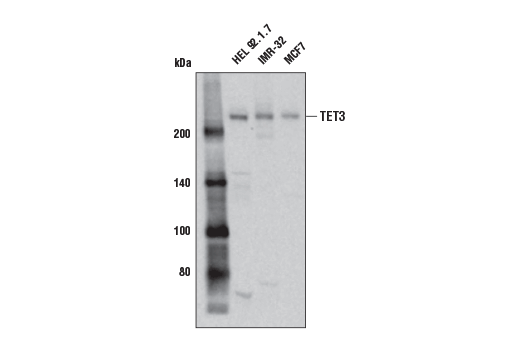
TET3 (E2S3C) Rabbit Monoclonal Antibody #85016

Filter:
  • WB
  • IP

    Product Specifications

    REACTIVITY H Mk
    SENSITIVITY Endogenous
    MW (kDa) 235
    Source/Isotype Rabbit IgG
    Application Key:
    • WB-Western Blotting 
    • IP-Immunoprecipitation 
    Species Cross-Reactivity Key:
    • H-Human 
    • Mk-Monkey 

    Product Information

    Product Usage Information

    Application Dilution
    Western Blotting 1:1000
    Immunoprecipitation 1:100

    Storage

    Supplied in 10 mM sodium HEPES (pH 7.5), 150 mM NaCl, 100 µg/ml BSA, 50% glycerol and less than 0.02% sodium azide. Store at –20°C. Do not aliquot the antibody.

    Protocol

    Specificity / Sensitivity

    TET3 (E2S3C) Rabbit Monoclonal Antibody recognizes endogenous levels of total TET3 protein.

    Species Reactivity:

    Human, Monkey

    Source / Purification

    Monoclonal antibody is produced by immunizing animals with a synthetic peptide corresponding to residues surrounding Gly110 of human TET3 protein.

    Background

    Methylation of DNA at cytosine residues is a heritable, epigenetic modification that is critical for proper regulation of gene expression, genomic imprinting, and mammalian development (1,2). 5-methylcytosine is a repressive epigenetic mark established de novo by two enzymes, DNMT3a and DNMT3b, and is maintained by DNMT1 (3,4). 5-methylcytosine was originally thought to be passively depleted during DNA replication. However, subsequent studies have shown that Ten-Eleven Translocation (TET) proteins TET1, TET2, and TET3 can catalyze the oxidation of methylated cytosine to 5-hydroxymethylcytosine (5-hmC) (5). Additionally, TET proteins can further oxidize 5-hmC to form 5-formylcytosine (5-fC) and 5-carboxylcytosine (5-caC), both of which are excised by thymine-DNA glycosylase (TDG), effectively linking cytosine oxidation to the base excision repair pathway and supporting active cytosine demethylation (6,7). TET3 plays several key roles in regulating early development and neonatal growth. First, TET3 functions to demethylate DNA in the male pronucleus of the zygote following fertilization (8-10). In addition, TET3 binds to and regulates numerous developmental genes later during development (11). TET2/TET3 deficiency can lead to myeloid cell, B cell, and invariant natural killer T (iNKT) cell malignancies. In Tregs, TET2/TET3 deficiency in mice leads to hyperproliferation and inflammatory disease, with decreased expression of Treg-specific genes and increased expression of genes involved in proliferation and cancer (12,13).

    Alternate Names

    BEFAHRS; hCG_40738; KIAA0401; Methylcytosine dioxygenase TET3; MGC22014; Probable methylcytosine dioxygenase TET3; putative methylcytosine dioxygenase; tet methylcytosine dioxygenase 3; tet oncogene family member 3; TET3

    For Research Use Only. Not for Use in Diagnostic Procedures.
    Cell Signaling Technology is a trademark of Cell Signaling Technology, Inc.
    All other trademarks are the property of their respective owners. Visit our Trademark Information page.