Render Target: STATIC
Render Timestamp:
5/28/2026, 7:57:08 PM EDT
5/28/2026, 11:57:08 PM UTC
Commit: 7ed46ecc04b401f23a28df741b5078df405d23e4
XML generation date: 2025-12-16 14:07:13.185
Product last modified at: 2026-03-20T08:06:51.532Z
Cell Signaling Technology Logo - Extra Large
1% for the planet logo
PDP - Template Name: Monoclonal Antibody
PDP - Template ID: *******c5e4b77
Trial Size Available Flag

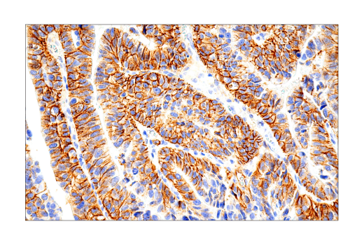
Syndecan 1 (IHC138) Mouse Monoclonal Antibody #30501

Filter:
  • IHC

    Product Specifications

    REACTIVITY H
    SENSITIVITY Endogenous
    MW (kDa)
    Source/Isotype Mouse IgG1 kappa
    Application Key:
    • IHC-Immunohistochemistry 
    Species Cross-Reactivity Key:
    • H-Human 

    Product Information

    Product Usage Information

    Application Dilution
    IHC Leica Bond 1:1600 - 1:6400
    Immunohistochemistry (Paraffin) 1:200 - 1:800

    Storage

    Supplied in a Tris-based buffer with 1% BSA and less than 0.1% sodium azide. Stable for 24 months when stored at 4°C. Do not aliquot the antibody.

    实验步骤

    Specificity / Sensitivity

    Syndecan 1 (IHC138) Mouse Monoclonal Antibody recognizes endogenous levels of total Syndecan 1 protein.

    Species Reactivity:

    Human

    Source / Purification

    Monoclonal antibody is produced by immunizing animals with a myeloma cell line.

    Background

    Syndecans are a family of type 1 transmembrane heparan sulfate proteoglycans comprising four members in mammals (SDC1-4) (1) encoded by four syndecan genes. Syndecans are involved in embryonic development, tumorigenesis, and angiogenesis (2). The extracellular domain harbors attachment sites for heparan sulfate and chondroitin sulfate chains, facilitating interaction with an array of proteins, including a plethora of growth factors. In addition, the hydrophobic C-terminal intracellular domain can interact with proteins containing a PDZ domain (2). These interactions place syndecans as important integrators of membrane signaling (3). Syndecans undergo proteolytic cleavage causing the release of their extracellular domain (shedding), converting the membrane-bound proteins into soluble molecular effectors (4).

    Syndecan 1 (SDC1) is a specific marker for plasmacytic differentiation in hematologic disorders (5-7). This cell surface proteoglycan is also expressed in normal epithelial cells and tissues as well as various types of cancer tissues (8-11). The extracellular shed form of syndecan 1 remains soluble or accumulates in the extracellular matrix where it binds growth factors, cytokines and other extracellular matrix proteins (12,13). This binding activates signaling of bound growth factors or cytokines, which results in enhanced tumor growth, dissemination, angiogenesis, and osteolysis (14-17). As a result, the level of syndecan 1 protein and its shed form may serve as prognostic factors for a list of malignancies (6,18,19). Syndecan 1 has recently been found to be a critical mediator of macropinocytosis in pancreatic cancer (20).
    1. Couchman, J.R. (2003) Nat Rev Mol Cell Biol 4, 926-37.
    2. Multhaupt, H.A. et al. (2009) J Physiol Pharmacol 60 Suppl 4, 31-8.
    3. Zimmermann, P. and David, G. (1999) FASEB J 13 Suppl, S91-S100.
    4. Manon-Jensen, T. et al. (2010) FEBS J 277, 3876-89.
    5. Chilosi, M. et al. (1999) Mod Pathol 12, 1101-6.
    6. Seidel, C. et al. (2000) Blood 95, 388-92.
    7. O'Connell, F.P. et al. (2004) Am J Clin Pathol 121, 254-63.
    8. Inki, P. and Jalkanen, M. (1996) Ann Med 28, 63-7.
    9. Matsumoto, A. et al. (1997) Int J Cancer 74, 482-91.
    10. Conejo, J.R. et al. (2000) Int J Cancer 88, 12-20.
    11. Zellweger, T. et al. (2003) Prostate 55, 20-9.
    12. Bayer-Garner, I.B. et al. (2001) Mod Pathol 14, 1052-8.
    13. Ramani, V.C. et al. (2013) FEBS J 280, 2294-306.
    14. Derksen, P.W. et al. (2002) Blood 99, 1405-10.
    15. You, W.K. and McDonald, D.M. (2008) BMB Rep 41, 833-9.
    16. Ramani, V.C. et al. (2011) J Biol Chem 286, 6490-9.
    17. Aragão, A.Z. et al. (2012) PLoS One 7, e43521.
    18. Joensuu, H. et al. (2002) Cancer Res 62, 5210-7.
    19. Lee, S.H. et al. (2014) Int J Clin Oncol 19, 247-53.
    20. Yao, W. et al. (2019) Nature 568, 410-414.

    Alternate Names

    CD138; CD138 antigen; heparan sulfate proteoglycan fibroblast growth factor receptor; SDC; SDC1; SYND1; syndecan; syndecan 1; syndecan proteoglycan 1; Syndecan-1

    For Research Use Only. Not for Use in Diagnostic Procedures.
    Cell Signaling Technology is a trademark of Cell Signaling Technology, Inc.
    SignalStain is a registered trademark of Cell Signaling Technology, Inc.
    All other trademarks are the property of their respective owners. Visit our Trademark Information page.