Cell Signaling Technology Logo - Extra Large
Trial Size Available Flag
Recombinant Flag
Recombinant: Superior lot-to-lot consistency, continuous supply, and animal-free manufacturing.

STING (D1V5L) Rabbit Monoclonal Antibody #50494

Filter:
  • WB
  • IP

    Product Specifications

    REACTIVITY H M R
    SENSITIVITY Endogenous
    MW (kDa) 33, 35
    Source/Isotype Rabbit IgG
    Application Key:
    • WB-Western Blotting 
    • IP-Immunoprecipitation 
    Species Cross-Reactivity Key:
    • H-Human 
    • M-Mouse 
    • R-Rat 

    Product Information

    Product Usage Information

    Application Dilution
    Western Blotting 1:1000
    Simple Western™ 1:10 - 1:50
    Immunoprecipitation 1:50

    Storage

    Supplied in 10 mM sodium HEPES (pH 7.5), 150 mM NaCl, 100 µg/ml BSA, 50% glycerol and less than 0.02% sodium azide. Store at –20°C. Do not aliquot the antibody.

    实验步骤

    Specificity / Sensitivity

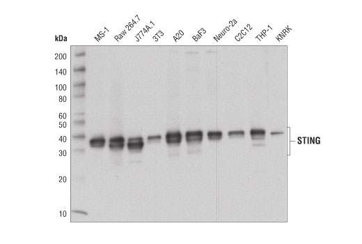
    STING (D1V5L) Rabbit Monoclonal Antibody recognizes endogenous levels of total STING protein.

    Species Reactivity:

    Human, Mouse, Rat

    Source / Purification

    Monoclonal antibody is produced by immunizing animals with recombinant protein specific to mouse STING protein.

    Background

    Stimulator of interferon genes (STING, TMEM173, MITA) is a transmembrane adaptor protein that is a critical component of the cellular innate immune response to pathogenic cytoplasmic DNA (1,2). STING is a ubiquitously expressed protein found predominantly in the ER (1). The enzyme cGAMP synthase (cGAS) produces the second messenger cyclic-GMP-AMP (cGAMP) in response to cytoplasmic DNA (3,4). cGAMP binds and activates STING (3,4). In addition, detection of cytoplasmic DNA by nucleic acid sensors, including DDX41 or IFI16, results in STING activation (5,6). Following activation, STING translocates with TBK1 to perinuclear endosomes (7). The TBK1 kinase phosphorylates and activates interferon regulatory factors (IRFs) and NF-κB, which leads to the induction of type I interferon and other immune response genes (1,2,7).

    Alternate Names

    2610307O08Rik; Endoplasmic reticulum interferon stimulator; ERIS; Mediator of IRF3 activation; Mita; mitochondrial mediator of IRF3 activation; MMITA; Mpys; mSTING; Stimulator of interferon genes protein; stimulator of interferon protein; stimulator of interferon response cGAMP interactor 1; Sting; STING-beta; Sting1; TM173; Tmem173; Transmembrane protein 173

    For Research Use Only. Not for Use in Diagnostic Procedures.
    Cell Signaling Technology is a trademark of Cell Signaling Technology, Inc.
    All other trademarks are the property of their respective owners. Visit our Trademark Information page.