Cell Signaling Technology Logo - Extra Large
Trial Size Available Flag
Recombinant Flag
Recombinant: Superior lot-to-lot consistency, continuous supply, and animal-free manufacturing.

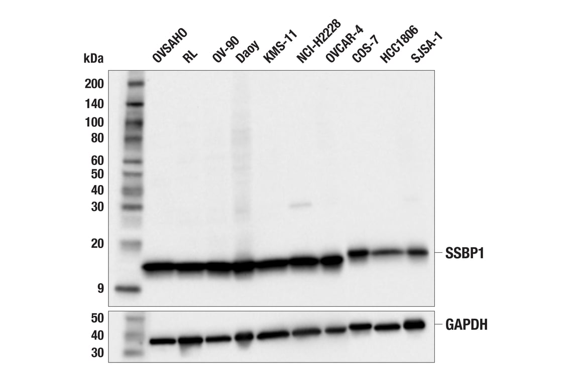
SSBP1 (F4E9N) Rabbit Monoclonal Antibody #26087

Filter:
  • WB

    Product Specifications

    REACTIVITY H Mk
    SENSITIVITY Endogenous
    MW (kDa) 17
    Source/Isotype Rabbit IgG
    Application Key:
    • WB-Western Blotting 
    Species Cross-Reactivity Key:
    • H-Human 
    • Mk-Monkey 

    Product Information

    Product Usage Information

    Application Dilution
    Western Blotting 1:1000
    Simple Western™ 1:10 - 1:50

    Storage

    Supplied in 10 mM sodium HEPES (pH 7.5), 150 mM NaCl, 100 µg/mL BSA, 50% glycerol, and less than 0.02% sodium azide. Store at –20°C. Do not aliquot the antibody.

    实验步骤

    Specificity / Sensitivity

    SSBP1 (F4E9N) Rabbit Monoclonal Antibody recognizes endogenous levels of total SSBP1 protein.

    Species Reactivity:

    Human, Monkey

    Source / Purification

    Monoclonal antibody is produced by immunizing animals with a synthetic peptide corresponding to residues surrounding Leu35 of human SSBP1 protein.

    Background

    The mitochondrial DNA replisome requires the activity of single-stranded DNA-binding protein (SSBP1, mtSSB), DNA Polymerase γ (POLG), and the mitochondrial DNA helicase (twinkle/PEO1) (1). SSBP1 enhances the functions of both POLG and PEO1 by binding to and stabilizing single-stranded DNA at the replication fork; knockdown of SSBP1 in vitro causes a gradual depletion of mitochondrial DNA and an acute depletion of 7S DNA (2). Mutations in SSBP1 underlie a variety of disorders, including optic atrophy, nephropathy (3), Pearson syndrome, Leigh syndrome, and Kearns-Sayre syndrome (4-6). SSBP1 has emerged as a potential therapeutic target for glioblastoma (7) and non-small cell lung cancer (NSCLC) (8), as controlled depletion of SSBP1 increases mitochondrial reactive oxygen species (ROS) and sensitizes these cancer cells to temozolomide and radiation therapy, respectively (7,8). The increase in mitochondrial ROS observed with SSBP1 depletion is linked to a corresponding decrease in nuclear ROS (9). ROS-sensing kinase Chk1 phosphorylates SSBP1 at Ser67, causing SSBP1 sequestration in the cytoplasm and limiting the translation of mitochondrial genes (9). This pathway may confer resistance to platinum-based therapies in ovarian cancers (9).

    Alternate Names

    Mt-SSB; MtSSB; OPA13; PWP1-interacting protein 17; single stranded DNA binding protein 1; single-stranded DNA binding protein 1; single-stranded DNA binding protein 1, mitochondrial; Single-stranded DNA-binding protein, mitochondrial; SOSS-B1; SSBP; SSBP1

    For Research Use Only. Not for Use in Diagnostic Procedures.
    Cell Signaling Technology is a trademark of Cell Signaling Technology, Inc.
    All other trademarks are the property of their respective owners. Visit our Trademark Information page.