Cell Signaling Technology Logo - Extra Large
Trial Size Available Flag
Recombinant Flag
Recombinant: Superior lot-to-lot consistency, continuous supply, and animal-free manufacturing.

Spry1 (D9V6P) Rabbit Monoclonal Antibody #13013

Filter:
  • WB
  • IP

    Product Specifications

    REACTIVITY H M R
    SENSITIVITY Endogenous
    MW (kDa) 35
    Source/Isotype Rabbit IgG
    Application Key:
    • WB-Western Blotting 
    • IP-Immunoprecipitation 
    Species Cross-Reactivity Key:
    • H-Human 
    • M-Mouse 
    • R-Rat 

    Product Information

    Product Usage Information

    Application Dilution
    Western Blotting 1:1000
    Immunoprecipitation 1:100

    Storage

    Supplied in 10 mM sodium HEPES (pH 7.5), 150 mM NaCl, 100 µg/ml BSA, 50% glycerol and less than 0.02% sodium azide. Store at –20°C. Do not aliquot the antibody.

    实验步骤

    Specificity / Sensitivity

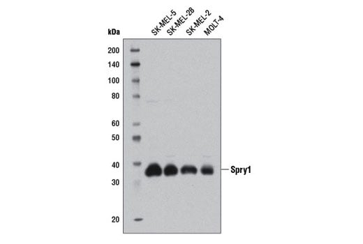
    Spry1 (D9V6P) Rabbit Monoclonal Antibody recognizes endogenous levels of total Spry1 protein.

    Species Reactivity:

    Human, Mouse, Rat

    Source / Purification

    Monoclonal antibody is produced by immunizing animals with a synthetic peptide corresponding to residues surrounding Arg70 of human Spry1 protein.

    Background

    Spry1 is a member of the Sprouty (Spry) family proteins that was initially identified in Drosophila as an inhibitor of the FGF signaling pathway (1). There are four human Spry proteins (Spry1-4), encoded by different genes, and they all share a highly conserved carboxy-terminal cystine-rich Spry domain that is known to be essential for their receptor tyrosine kinase inhibitory function stimulated by various growth factors (1-3). Spry1 and other Spry proteins play a key role in embryonic development, tissue and organ formation, as well as growth in almost all living organisms (1-4). Spry proteins are considered tumor suppressors due to their inhibitory function in a variety of growth factor signaling pathways (2,3). Spry1 anchors itself to the membrane by palmitoylation and can translocate from the cytosol to the membrane by binding to caveolin-1 (5,6). Regulation of Spry1 protein function is thought to occur at various levels. Spry1 regulation includes transcriptional regulation by growth factors and kinases (1,4,7), post-transcriptional regulation by microRNA-21 (8), post-translational modifications including phosphorylation, dephosphorylation, ubiquitination and proteasomal degradation, and regulation by its interacting protein partners (2,3).

    Alternate Names

    hSPRY1; Protein sprouty homolog 1; sprouty homolog 1, antagonist of FGF signaling; sprouty homolog 1, antagonist of FGF signaling (Drosophila); sprouty RTK signaling antagonist 1; sprouty, Drosophila, homolog of, 1 (antagonist of FGF signaling); Spry-1; SPRY1; SPY1

    For Research Use Only. Not for Use in Diagnostic Procedures.
    Cell Signaling Technology is a trademark of Cell Signaling Technology, Inc.
    All other trademarks are the property of their respective owners. Visit our Trademark Information page.