Cell Signaling Technology Logo - Extra Large
Trial Size Available Flag
Recombinant Flag
Recombinant: Superior lot-to-lot consistency, continuous supply, and animal-free manufacturing.

Sox2 (D1C7J) Rabbit Monoclonal Antibody #14962

Filter:
  • WB
  • IHC

    Product Specifications

    REACTIVITY H M
    SENSITIVITY Endogenous
    MW (kDa) 35
    Source/Isotype Rabbit IgG
    Application Key:
    • WB-Western Blotting 
    • IHC-Immunohistochemistry 
    Species Cross-Reactivity Key:
    • H-Human 
    • M-Mouse 

    Product Information

    Product Usage Information

    Application Dilution
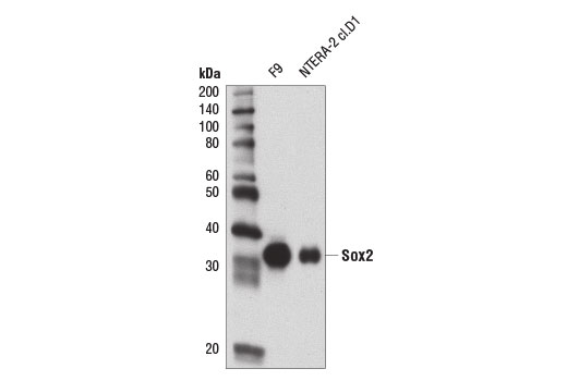
    Western Blotting 1:1000
    Immunohistochemistry (Paraffin) 1:300

    Storage

    Supplied in 10 mM sodium HEPES (pH 7.5), 150 mM NaCl, 100 µg/ml BSA, 50% glycerol and less than 0.02% sodium azide. Store at –20°C. Do not aliquot the antibody.

    For a carrier-free (BSA and azide free) version of this product see product #10652.

    Protocol

    Specificity / Sensitivity

    Sox2 (D1C7J) Rabbit Monoclonal Antibody recognizes endogenous levels of total Sox2 protein.

    Species Reactivity:

    Human, Mouse

    The antigen sequence used to produce this antibody shares 100% sequence homology with the species listed here, but reactivity has not been tested or confirmed to work by CST. Use of this product with these species is not covered under our Product Performance Guarantee.

    Species predicted to react based on 100% sequence homology:

    Rat

    Source / Purification

    Monoclonal antibody is produced by immunizing animals with a synthetic peptide corresponding to residues surrounding Gly152 of human Sox2 protein.

    Background

    Embryonic stem cells (ESC) derived from the inner cell mass of the blastocyst are unique in their pluripotent capacity and potential for self-renewal (1). Research studies demonstrate that a set of transcription factors that includes Oct-4, Sox2, and Nanog forms a transcriptional network that maintains cells in a pluripotent state (2,3). Chromatin immunoprecipitation experiments show that Sox2 and Oct-4 bind to thousands of gene regulatory sites, many of which regulate cell pluripotency and early embryonic development (4,5). siRNA knockdown of either Sox2 or Oct-4 results in loss of pluripotency (6). Induced overexpression of Oct-4 and Sox2, along with additional transcription factors Klf4 and c-Myc, can reprogram both mouse and human somatic cells to a pluripotent state (7,8). Additional evidence demonstrates that Sox2 is also present in adult multipotent progenitors that give rise to some adult epithelial tissues, including several glands, the glandular stomach, testes, and cervix. Sox2 is thought to regulate target gene expression important for survival and regeneration of these tissues (9).

    Alternate Names

    ANOP3; MCOPS3; MGC2413; sex determining region Y-box 2; SOX2; SRY (sex determining region Y)-box 2; SRY-box 2; SRY-box transcription factor 2; SRY-related HMG-box gene 2; Transcription factor SOX-2; transcription factor SOX2

    For Research Use Only. Not for Use in Diagnostic Procedures.
    Cell Signaling Technology is a trademark of Cell Signaling Technology, Inc.
    SignalStain is a registered trademark of Cell Signaling Technology, Inc.
    All other trademarks are the property of their respective owners. Visit our Trademark Information page.