Cell Signaling Technology Logo - Extra Large

Sox1 Antibody #4194

Filter:
  • WB
  • IF

    Product Specifications

    REACTIVITY M R
    SENSITIVITY Endogenous
    MW (kDa) 40
    SOURCE Rabbit
    Application Key:
    • WB-Western Blotting 
    • IF-Immunofluorescence 
    Species Cross-Reactivity Key:
    • M-Mouse 
    • R-Rat 

    Product Information

    Product Usage Information

    Application Dilution
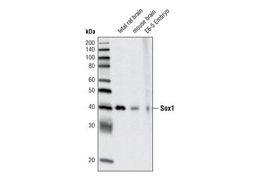
    Western Blotting 1:1000
    Immunofluorescence (Frozen) 1:100 - 1:200

    Storage

    Supplied in 10 mM sodium HEPES (pH 7.5), 150 mM NaCl, 100 µg/ml BSA and 50% glycerol. Store at –20°C. Do not aliquot the antibody.

    实验步骤

    Specificity / Sensitivity

    Sox1 Antibody detects endogenous levels of total Sox1 protein. This antibody does not cross-react with endogenous levels of other Sox proteins, including Sox2 and Sox3.

    Species Reactivity:

    Mouse, Rat

    The antigen sequence used to produce this antibody shares 100% sequence homology with the species listed here, but reactivity has not been tested or confirmed to work by CST. Use of this product with these species is not covered under our Product Performance Guarantee.

    Species predicted to react based on 100% sequence homology:

    Human

    Source / Purification

    Polyclonal antibodies are produced by immunizing animals with a synthetic peptide corresponding to residues at the carboxy terminus of human Sox1. Antibodies are purified by Protein A and peptide affinity chromatography.

    Background

    Sox (Sry-related box) genes encode a family of transcription factors that play a myriad of roles in developmental processes (1). Sox1 and Sox2 are the earliest markers that identify neuroectodermal tissue, and these markers, together with Sox9 collectively mark neuronal stem cells (NSC's) that are present in neurogenically active areas of the mature rodent brain (2). Sox1 has been found in the walls of the lateral ventricles and the dentate gyrus, as well as in inactive areas such as the cerebellum where it marks a population of cells in the Purkinje layer known as the Bergmann glia (2). Sox1 is thought to maintain the cell cycle and promote self renewal in NSCs, but also functions in other cell types to promote differentiation (3).

    Alternate Names

    SOX1; SRY (sex determining region Y)-box 1; SRY-box 1; SRY-box transcription factor 1; SRY-related HMG-box gene 1; Transcription factor SOX-1

    For Research Use Only. Not for Use in Diagnostic Procedures.
    Cell Signaling Technology is a trademark of Cell Signaling Technology, Inc.
    All other trademarks are the property of their respective owners. Visit our Trademark Information page.