Cell Signaling Technology Logo - Extra Large
Recombinant Flag
Recombinant: Superior lot-to-lot consistency, continuous supply, and animal-free manufacturing.

SLP-76 (D1R1A) Rabbit Monoclonal Antibody (BSA and Azide Free) #52812

Filter:
  • WB
  • IHC
  • IF
  • F
  • ELISA

    Product Specifications

    REACTIVITY H
    SENSITIVITY Endogenous
    MW (kDa) 76
    Source/Isotype Rabbit IgG
    Application Key:
    • WB-Western Blotting 
    • IHC-Immunohistochemistry 
    • IF-Immunofluorescence 
    • F-Flow Cytometry 
    • ELISA-ELISA 
    Species Cross-Reactivity Key:
    • H-Human 

    Product Information

    Product Usage Information

    This formulation is ideal for use with technologies requiring specialized or custom antibody labeling, including fluorophores, metals, lanthanides, and oligonucleotides. It is not recommended for ChIP, ChIP-seq, CUT&RUN, or CUT&Tag assays. If you require a carrier-free formulation for chromatin profiling, please contact us. Optimal dilutions/concentrations should be determined by the end user.BSA and Azide Free antibodies are quality control tested by size exclusion chromatography (SEC) to determine antibody integrity.

    Formulation

    Supplied in 1X PBS (10 mM Na2HPO4, 3 mM KCl, 2 mM KH2PO4, and 140 mM NaCl (pH 7.8)). BSA and Azide Free.

    For standard formulation of this product see product #70896.

    Storage

    Store at -20°C. This product will freeze at -20°C so it is recommended to aliquot into single-use vials to avoid multiple freeze/thaw cycles. A slight precipitate may be present and can be dissolved by gently vortexing. This will not interfere with antibody performance.

    Specificity / Sensitivity

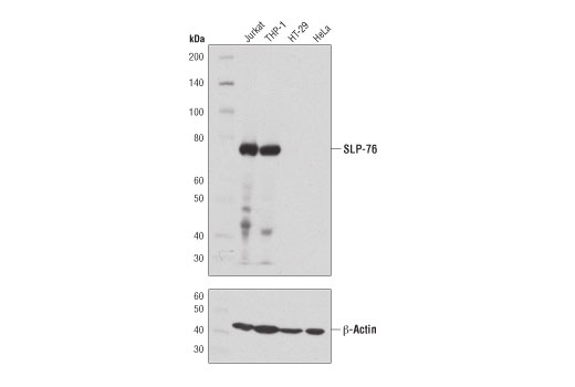
    SLP-76 (D1R1A) Rabbit Monoclonal Antibody (BSA and Azide Free) recognizes endogenous levels of total SLP-76 protein.

    Species Reactivity:

    Human

    Source / Purification

    Monoclonal antibody is produced by immunizing animals with a synthetic peptide corresponding to residues surrounding Pro390 of human SLP-76 protein.

    Background

    SH2 domain-containing leukocyte protein of 76 kDa (SLP-76) is a hematopoietic adaptor protein that is important in multiple biochemical signaling pathways and necessary for T cell development and activation (1). ZAP-70 phosphorylates SLP-76 and LAT as a result of TCR ligation. SLP-76 has amino-terminal tyrosine residues followed by a proline-rich domain and a carboxy-terminal SH2 domain. Phosphorylation of Tyr113 and Tyr128 result in recruitment of the GEF Vav and the adaptor protein Nck (2). TCR ligation also leads to phosphorylation of Tyr145, which mediates an association between SLP-76 and Itk, which is accomplished in part via the proline-rich domain of SLP-76 and the SH3 domain of Itk (3). Furthermore, the proline-rich domain of SLP-76 binds to the SH3 domains of Grb2-like adaptor Gads (3,4). In resting cells, SLP-76 is predominantly in the cytosol. Upon TCR ligation, SLP-76 translocates to the plasma membrane and promotes the assembly of a multi-protein signaling complex that includes Vav, Nck, Itk, and PLCγ1 (1). The expression of SLP-76 is tightly regulated; the protein is detected at very early stages of thymocyte development, increases as thymocyte maturation progresses, and is reduced as cells mature to CD4+ CD8+ double-positive thymocytes (5).

    Alternate Names

    76 kDa tyrosine phosphoprotein; LCP2; Lymphocyte cytosolic protein 2; lymphocyte cytosolic protein 2 (SH2 domain containing leukocyte protein of 76kDa); SH2 domain-containing leukocyte protein of 76 kDa; SH2 domain-containing leukocyte protein of 76kD; SLP-76; SLP-76 tyrosine phosphoprotein; SLP76

    For Research Use Only. Not for Use in Diagnostic Procedures.
    Cell Signaling Technology is a trademark of Cell Signaling Technology, Inc.
    Alexa Fluor is a registered trademark of Life Technologies Corporation.
    All other trademarks are the property of their respective owners. Visit our Trademark Information page.