Cell Signaling Technology Logo - Extra Large
Recombinant Flag
Recombinant: Superior lot-to-lot consistency, continuous supply, and animal-free manufacturing.

Skp2 (D3G5) Rabbit Monoclonal Antibody (BSA and Azide Free) #95000

Filter:
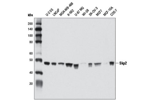
  • WB
  • IHC
  • IF

    Product Specifications

    REACTIVITY H Mk
    SENSITIVITY Endogenous
    MW (kDa) 48
    Source/Isotype Rabbit IgG
    Application Key:
    • WB-Western Blotting 
    • IHC-Immunohistochemistry 
    • IF-Immunofluorescence 
    Species Cross-Reactivity Key:
    • H-Human 
    • Mk-Monkey 

    Product Information

    Product Usage Information

    This product is the carrier free version of product #2652. All data were generated using the same antibody clone in the standard formulation which contains BSA and glycerol.

    This formulation is ideal for use with technologies requiring specialized or custom antibody labeling, including fluorophores, metals, lanthanides, and oligonucleotides. It is not recommended for ChIP, ChIP-seq, CUT&RUN or CUT&Tag assays. If you require a carrier free formulation for chromatin profiling, please contact us. Optimal dilutions/concentrations should be determined by the end user.

    BSA and Azide Free antibodies are quality control tested by size exclusion chromatography (SEC) to determine antibody integrity.

    Formulation

    Supplied in 1X PBS (10 mM Na2HPO4, 3 mM KCl, 2 mM KH2PO4, and 140 mM NaCl (pH 7.8)). BSA and Azide Free.

    For standard formulation of this product see product #2652

    Storage

    Store at -20°C. This product will freeze at -20°C so it is recommended to aliquot into single-use vials to avoid multiple freeze/thaw cycles. A slight precipitate may be present and can be dissolved by gently vortexing. This will not interfere with antibody performance.

    Specificity / Sensitivity

    Skp2 (D3G5) Rabbit Monoclonal Antibody (BSA and Azide Free) recognizes endogenous levels of total Skp2 protein. This antibody is predicted to cross-react with Skp2α and Skp2β.

    Species Reactivity:

    Human, Monkey

    Source / Purification

    Monoclonal antibody is produced by immunizing animals with a synthetic peptide corresponding to residues near the amino terminus of human Skp2 protein.

    Background

    Members of the F-box family of proteins are characterized by the approximate 40 amino acid F-box motif named after cyclin F (1,2). F-box proteins constitute one of the four subunits of the Skp1-Cullin-F-box (SCF) ubiquitin ligase complex. The substrate specificity of SCF complexes is determined by the interchangeable F-box proteins, which act as adaptors by associating with phosphorylated substrate proteins and recruiting them to the SCF core. F-box proteins contain two fundamental domains: the F-box motif mediates binding to Skp1 and a leucine rich repeat (LRR) domain mediates substrate interactions.
    S phase kinase-associated protein 2 (Skp2) interacts with cyclin A/CDK2 and mediates G1 to S and G2 to M phase transitions by targeting the cyclin-dependent kinase (CDK) inhibitors p27, p21, and p130 for ubiquitination and subsequent proteolysis (3-6). Overexpression of Skp2 results in deregulated proliferation and genetic instabilities typical of cancer cells (7). Research studies have shown that increased Skp2/decreased p27 levels are associated with many aggressive lymphomas and human carcinomas such as colon, breast, prostate and lung cancers (7). Several recent research studies have demonstrated that Skp2 is subject to phosphorylation-dependent regulation by a network of pro-proliferative Ser/Thr kinases. It appears as though phosphorylation of Skp2 at Ser64 by CDK2 (8), Ser72 by Akt1 (9), and Thr417 by PIM1 (10) promotes stabilization of Skp2, possibly constituting an additional mechanism for Skp2 oncogenicity.

    Alternate Names

    CDK2/cyclin A-associated protein p45; cyclin A/CDK2-associated protein p45; Cyclin-A/CDK2-associated protein p45; F-box protein Skp2; F-box/LRR-repeat protein 1; FBL1; FBXL1; FLB1; MGC1366; p45; p45skp2; S-phase kinase associated protein 2; S-phase kinase-associated protein 2; S-phase kinase-associated protein 2 (p45); S-phase kinase-associated protein 2, E3 ubiquitin protein ligase; SKP2

    For Research Use Only. Not for Use in Diagnostic Procedures.
    Cell Signaling Technology is a trademark of Cell Signaling Technology, Inc.
    SignalStain is a registered trademark of Cell Signaling Technology, Inc.
    All other trademarks are the property of their respective owners. Visit our Trademark Information page.