Cell Signaling Technology Logo - Extra Large
Trial Size Available Flag
Recombinant Flag
Recombinant: Superior lot-to-lot consistency, continuous supply, and animal-free manufacturing.

SKAR alpha/beta (D65E8) Rabbit Monoclonal Antibody #5439

Filter:
  • WB
  • IF

    Product Specifications

    REACTIVITY H M R Mk
    SENSITIVITY Endogenous
    MW (kDa) 46, 43
    Source/Isotype Rabbit IgG
    Application Key:
    • WB-Western Blotting 
    • IF-Immunofluorescence 
    Species Cross-Reactivity Key:
    • H-Human 
    • M-Mouse 
    • R-Rat 
    • Mk-Monkey 

    Product Information

    Product Usage Information

    Application Dilution
    Western Blotting 1:1000
    Immunofluorescence (Immunocytochemistry) 1:3200

    Storage

    Supplied in 10 mM sodium HEPES (pH 7.5), 150 mM NaCl, 100 µg/ml BSA, 50% glycerol and less than 0.02% sodium azide. Store at –20°C. Do not aliquot the antibody.

    Protocol

    Specificity / Sensitivity

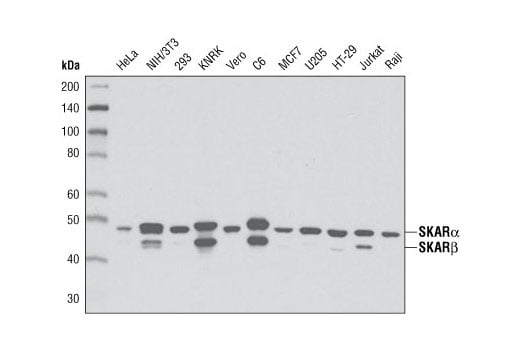
    SKAR alpha/beta (D65E8) Rabbit Monoclonal Antibody detects endogenous levels of total SKAR protein, α and β isoforms. By western blot, this antibody detects an approximately 21 kDa band of unknown origin in all primate cell types tested.

    Species Reactivity:

    Human, Mouse, Rat, Monkey

    Source / Purification

    Monoclonal antibody is produced by immunizing animals with a synthetic peptide corresponding to the amino terminus of human SKAR.

    Background

    p70 S6 kinase is a mitogen activated Ser/Thr protein kinase downstream of phosphoinositide-3 kinase (PI3K) and the target of rapamycin, FRAP/mTOR. p70 S6 kinase is required for cell growth and cell cycle progression (1,2). SKAR is a recently discovered substrate of S6K1. SKAR exists in two isoforms, α and β, the latter having a 29 amino acid truncation. Phosphorylation of SKAR is mitogen-induced and sensitive to rapamycin. Reduction in SKAR protein levels results in decreased cell size, further implicating SKAR in cell growth control (3).

    Alternate Names

    46 kDa DNA polymerase delta interaction protein; DNA polymerase delta interacting protein 3; KIAA1649; p46; PDIP3; PDIP46; POLDIP3; polymerase (DNA-directed), delta interacting protein 3; polymerase (DNA) delta interacting protein 3; polymerase delta interacting protein 46; Polymerase delta-interacting protein 3; RNA-binding protein P46; S6K1 Aly/REF-like target; SKAR

    For Research Use Only. Not for Use in Diagnostic Procedures.
    Cell Signaling Technology is a trademark of Cell Signaling Technology, Inc.
    All other trademarks are the property of their respective owners. Visit our Trademark Information page.