Render Target: STATIC
Render Timestamp:
5/19/2026, 7:55:38 PM EDT
5/19/2026, 11:55:38 PM UTC
Commit: 7ed46ecc04b401f23a28df741b5078df405d23e4
XML generation date: 2025-11-12 16:11:59.875
Product last modified at: 2026-03-20T08:07:29.300Z
Cell Signaling Technology Logo - Extra Large
1% for the planet logo
PDP - Template Name: Monoclonal Antibody
PDP - Template ID: *******c5e4b77
Trial Size Available Flag
Recombinant Flag
Recombinant: Superior lot-to-lot consistency, continuous supply, and animal-free manufacturing.

Sin1 (D7G1A) Rabbit Monoclonal Antibody #12860

Filter:
  • WB
  • IP

    Product Specifications

    REACTIVITY H R Mk
    SENSITIVITY Endogenous
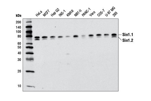
    MW (kDa) 74, 78
    Source/Isotype Rabbit IgG
    Application Key:
    • WB-Western Blotting 
    • IP-Immunoprecipitation 
    Species Cross-Reactivity Key:
    • H-Human 
    • R-Rat 
    • Mk-Monkey 

    Product Information

    Product Usage Information

    Application Dilution
    Western Blotting 1:1000
    Immunoprecipitation 1:50

    Storage

    Supplied in 10 mM sodium HEPES (pH 7.5), 150 mM NaCl, 100 µg/ml BSA, 50% glycerol and less than 0.02% sodium azide. Store at –20°C. Do not aliquot the antibody.

    实验步骤

    Specificity / Sensitivity

    Sin1 (D7G1A) Rabbit Monoclonal Antibody recognizes endogenous levels of total Sin1 protein, including isoforms Sin1.1 and Sin1.2.

    Species Reactivity:

    Human, Rat, Monkey

    Source / Purification

    Monoclonal antibody is produced by immunizing animals with a synthetic peptide corresponding to residues near the carboxy terminus of human Sin1 protein.

    Background

    Cell growth is a fundamental biological process whereby cells accumulate mass and increase in size. The mammalian TOR (mTOR) pathway regulates growth by coordinating energy and nutrient signals with growth factor-derived signals (1). mTOR is a large protein kinase that is a component of two different complexes. The mTOR complex 1 (mTORC1), a target of rapamycin, contains mTOR, GβL, and raptor. mTORC2, insensitive to rapamycin, includes mTOR, GβL, Sin1, and rictor (1). The mTORC2 complex phosphorylates Ser473 of Akt/PKB in vitro (2). This phosphorylation is essential for full Akt/PKB activation. Furthermore, rictor siRNA knockdown inhibits Ser473 phosphorylation in 3T3-L1 adipocytes (3). mTORC2 has also been shown to phosphorylate the rapamycin-resistant mutants of S6K1, another effector of mTOR (4). In addition, phosphorylation of Sin1 at Thr86 by Akt/PKB was shown to regulate the activity of mTORC2 in adipocytes upon stimulation by growth factors (5).

    Alternate Names

    JC310; MAPK associated protein 1; MAPKAP1; MEKK2-interacting protein 1; MGC2745; MIP1; Mitogen-activated protein kinase 2-associated protein 1; mitogen-activated protein kinase associated protein 1; mSIN1; ras inhibitor MGC2745; SAPK-interacting protein 1; SIN1; SIN1b; SIN1g; stress-activated map kinase interacting protein 1; Stress-activated map kinase-interacting protein 1; stress-activated protein kinase-interacting 1; Target of rapamycin complex 2 subunit MAPKAP1; TORC2 subunit MAPKAP1

    For Research Use Only. Not for Use in Diagnostic Procedures.
    Cell Signaling Technology is a trademark of Cell Signaling Technology, Inc.
    All other trademarks are the property of their respective owners. Visit our Trademark Information page.