Cell Signaling Technology Logo - Extra Large
Trial Size Available Flag
Recombinant Flag
Recombinant: Superior lot-to-lot consistency, continuous supply, and animal-free manufacturing.

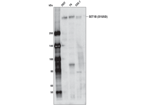
SET1B (D1U5D) Rabbit Monoclonal Antibody #44922

Filter:
  • WB
  • IP

    Product Specifications

    REACTIVITY H M Mk
    SENSITIVITY Endogenous
    MW (kDa) 320
    Source/Isotype Rabbit IgG
    Application Key:
    • WB-Western Blotting 
    • IP-Immunoprecipitation 
    Species Cross-Reactivity Key:
    • H-Human 
    • M-Mouse 
    • Mk-Monkey 

    Product Information

    Product Usage Information

    Application Dilution
    Western Blotting 1:1000
    Immunoprecipitation 1:100

    Storage

    Supplied in 10 mM sodium HEPES (pH 7.5), 150 mM NaCl, 100 µg/ml BSA, 50% glycerol and less than 0.02% sodium azide. Store at –20°C. Do not aliquot the antibody.

    实验步骤

    Specificity / Sensitivity

    SET1B (D1U5D) Rabbit Monoclonal Antibody recognizes endogenous levels of total SET1B protein.

    Species Reactivity:

    Human, Mouse, Monkey

    The antigen sequence used to produce this antibody shares 100% sequence homology with the species listed here, but reactivity has not been tested or confirmed to work by CST. Use of this product with these species is not covered under our Product Performance Guarantee.

    Species predicted to react based on 100% sequence homology:

    Bovine, Pig, Horse

    Source / Purification

    Monoclonal antibody is produced by immunizing animals with a synthetic peptide corresponding to residues surrounding Val204 of human SET1B protein.

    Background

    The Set1 histone methyltransferase protein was first identified in yeast as part of the Set1/COMPASS histone methyltransferase complex, which methylates histone H3 at Lys4 and functions as a transcriptional co-activator (1). While yeast contain only one known Set1 protein, six Set1-related proteins exist in mammals: SET1A, SET1B, MLL1, MLL2, MLL3, and MLL4, all of which assemble into COMPASS-like complexes and methylate histone H3 at Lys4 (2,3). These Set1-related proteins are each found in distinct protein complexes, all of which share the common subunits WDR5, RBBP5, ASH2L, CXXC1 and DPY30. These subunits are required for proper complex assembly and modulation of histone methyltransferase activity (2-6). MLL1 and MLL2 complexes contain the additional protein subunit, menin (6). Like yeast Set1, all six Set1-related mammalian proteins methylate histone H3 at Lys4 (2-6). MLL translocations are found in a large number of hematological malignancies, suggesting that Set1/COMPASS histone methyltransferase complexes play a critical role in leukemogenesis (6).

    Alternate Names

    FLJ20803; Histone-lysine N-methyltransferase SETD1B; hSET1B; IDDSELD; KIAA1076; KMT2G; Lysine N-methyltransferase 2G; SET domain containing 1B; SET domain containing 1B, histone lysine methyltransferase; SET domain-containing protein 1B; SET1B; SETD1B

    For Research Use Only. Not for Use in Diagnostic Procedures.
    Cell Signaling Technology is a trademark of Cell Signaling Technology, Inc.
    All other trademarks are the property of their respective owners. Visit our Trademark Information page.