Cell Signaling Technology Logo - Extra Large
Recombinant Flag
Recombinant: Superior lot-to-lot consistency, continuous supply, and animal-free manufacturing.

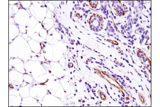
SDF1/CXCL12 (D8G6H) Rabbit Monoclonal Antibody #97958

Filter:
  • IHC

Inquiry Info. # 97958

Please see our recommended alternatives.

    Product Specifications

    REACTIVITY H
    SENSITIVITY Endogenous
    MW (kDa) 10
    Source/Isotype Rabbit IgG
    Application Key:
    • IHC-Immunohistochemistry 
    Species Cross-Reactivity Key:
    • H-Human 

    Product Information

    Product Usage Information

    Application Dilution
    Immunohistochemistry (Paraffin) 1:200

    Storage

    Supplied in 10 mM sodium HEPES (pH 7.5), 150 mM NaCl, 100 µg/ml BSA, 50% glycerol and less than 0.02% sodium azide. Store at –20°C. Do not aliquot the antibody.

    For a carrier free (BSA and azide free) version of this product see product #89194.

    实验步骤

    Specificity / Sensitivity

    SDF1/CXCL12 (D8G6H) Rabbit Monoclonal Antibody recognizes endogenous levels of total SDF1/CXCL12 protein by immunohistochemistry on paraffin-embedded tissue sections. This antibody recognizes both SDF1/CXCL12α and SDF1/CXCL12β.

    Species Reactivity:

    Human

    Source / Purification

    Monoclonal antibody is produced by immunizing animals with recombinant protein specific to human SDF1/CXCL12 protein.

    Background

    The stromal cell derived factor 1 (SDF1/CXCL12) is a small, pro-inflammatory chemoattractant cytokine that regulates leukocyte trafficking through interactions with its cognate 7-transmembrane G protein-coupled receptors (1). The SDF1/CXCL12 receptor, CXCR4, also serves as a coreceptor for the entry of human immunodeficiency virus into target cells (2). SDF1/CXCL12 may regulate homing and maintenance of CXCR4-expressing stem or progenitor cells, including embryonic and many somatic stem cells (3,4). Many cancer cells express CXCR4, suggesting that SDF1/CXCL12 plays a role in cancer metastasis (5,6). Alternative splicing and differential processing during maturation produce a pair of SDF1/CXCL12 isoforms (SDF1/CXCL12α and SDF1/CXCL12β) that have different properties and biological activities (7). Additional isoforms of SDF1/CXCL12 have been reported (8,9).

    Alternate Names

    C-X-C motif chemokine 12; C-X-C motif chemokine ligand 12; chemokine (C-X-C motif) ligand 12; chemokine (C-X-C motif) ligand 12 (stromal cell-derived factor 1); CXCL12; hIRH; hSDF-1; Intercrine reduced in hepatomas; IRH; PBSF; Pre-B cell growth-stimulating factor; SCYB12; SDF-1; SDF-1-alpha(3-67); SDF-1-beta(3-72); SDF-1a; SDF-1b; SDF1; SDF1A; SDF1B; Stromal cell-derived factor 1; stromal cell-derived factor 1 delta; stromal cell-derived factor 1 gamma; stromal cell-derived factor 1a; TLSF; TLSF-a; TLSF-b; TPAR1

    For Research Use Only. Not for Use in Diagnostic Procedures.
    Cell Signaling Technology is a trademark of Cell Signaling Technology, Inc.
    SignalStain is a registered trademark of Cell Signaling Technology, Inc.
    All other trademarks are the property of their respective owners. Visit our Trademark Information page.