Cell Signaling Technology Logo - Extra Large
Trial Size Available Flag
Recombinant Flag
Recombinant: Superior lot-to-lot consistency, continuous supply, and animal-free manufacturing.

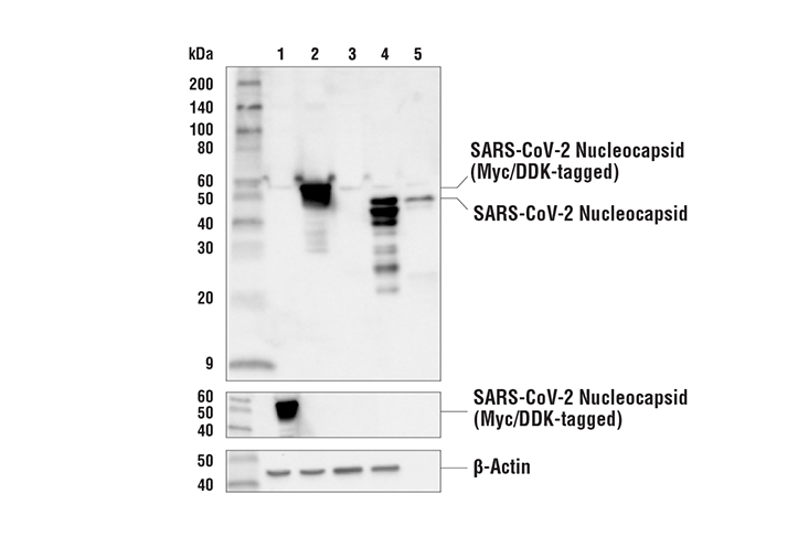
SARS-CoV-1/2 Nucleocapsid Protein (1C7C7) Mouse Monoclonal Antibody #68344

Filter:
  • WB
  • IF

    Product Specifications

    REACTIVITY Vir
    SENSITIVITY Endogenous
    MW (kDa) 55
    Source/Isotype Mouse IgG2a
    Application Key:
    • WB-Western Blotting 
    • IF-Immunofluorescence 
    Species Cross-Reactivity Key:
    • Vir-Virus 

    Product Information

    Product Usage Information

    Application Dilution
    Western Blotting 1:1000
    Immunofluorescence (Immunocytochemistry) 1:200 - 1:800

    Storage

    Supplied in 10 mM sodium HEPES (pH 7.5), 150 mM NaCl, 100 µg/ml BSA, 50% glycerol and less than 0.02% sodium azide. Store at –20°C. Do not aliquot the antibody.

    实验步骤

    Specificity / Sensitivity

    SARS-CoV-1/2 Nucleocapsid Protein (1C7C7) Mouse Monoclonal Antibody recognizes endogenous levels of total nucleocapsid (N) protein from SARS-CoV-1 and SARS-CoV-2.

    Species Reactivity:

    Virus

    Source / Purification

    Monoclonal antibody is produced by immunizing animals with recombinant protein corresponding to SARS-CoV-1 nucleocapsid (N) protein.

    Background

    The cause of the COVID-19 pandemic is a novel and highly pathogenic coronavirus, termed SARS-CoV-2 (severe acute respiratory syndrome coronavirus-2). SARS-CoV-2 is a member of the Coronaviridae family of viruses (1). The genome of SARS-CoV-2 is relatively large and encodes up to 29 open reading frames (ORFs). These include ORF1a and ORF1b (further processed into 16 non-structural proteins), 9 accessory proteins, and 4 canonical structural proteins: spike (S), envelope (E), membrane (M), and nucleocapsid (N) (2). The nucleocapsid (N) protein is a phosphoprotein that plays a critical role in viral assembly (3,4). It binds to the viral genomic RNA, enabling its packaging into the ribonucleoprotein complex (RNP), and is the most abundant protein in the virion (5). Evidence from studies in SARS-CoV-2 and other coronaviruses suggest functions for nucleocapsid (N) protein beyond viral RNA packaging, including roles in viral replication (6) and suppressing host immune responses to viral infection (7).

    Alternate Names

    2019-nCoV nucleocapsid protein; NC; NCAP_SARS2; nucleocapsid phosphoprotein; Nucleocapsid protein; Nucleoprotein; Protein N; SARS-CoV-2 nucleocapsid; Severe acute respiratory syndrome coronavirus 2 (2019-nCoV) (SARS-CoV-2)

    For Research Use Only. Not for Use in Diagnostic Procedures.
    Cell Signaling Technology is a trademark of Cell Signaling Technology, Inc.
    All other trademarks are the property of their respective owners. Visit our Trademark Information page.