Cell Signaling Technology Logo - Extra Large
Trial Size Available Flag
Recombinant Flag
Recombinant: Superior lot-to-lot consistency, continuous supply, and animal-free manufacturing.

RSK1/RSK2/RSK3 (D7A2H) Rabbit Monoclonal Antibody #14813

Filter:
  • WB

    Product Specifications

    REACTIVITY H M R Hm Mk B Dg Pg
    SENSITIVITY Endogenous
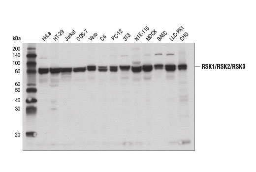
    MW (kDa) 90
    Source/Isotype Rabbit IgG
    Application Key:
    • WB-Western Blotting 
    Species Cross-Reactivity Key:
    • H-Human 
    • M-Mouse 
    • R-Rat 
    • Hm-Hamster 
    • Mk-Monkey 
    • B-Bovine 
    • Dg-Dog 
    • Pg-Pig 

    Product Information

    Product Usage Information

    Application Dilution
    Western Blotting 1:1000

    Storage

    Supplied in 10 mM sodium HEPES (pH 7.5), 150 mM NaCl, 100 µg/ml BSA, 50% glycerol and less than 0.02% sodium azide. Store at –20°C. Do not aliquot the antibody.

    Protocol

    Specificity / Sensitivity

    RSK1/RSK2/RSK3 (D7A2H) Rabbit Monoclonal Antibody recognizes endogenous levels of total RSK1, RSK2, and RSK3 proteins. This antibody is predicted to cross-react with RSK4 but has approximately 100-fold greater affinity for RSK1, RSK2, and RSK3. This antibody does not cross-react with other homologous RSK family members, such as human or mouse MSK1 or MSK2.

    Species Reactivity:

    Human, Mouse, Rat, Hamster, Monkey, Bovine, Dog, Pig

    The antigen sequence used to produce this antibody shares 100% sequence homology with the species listed here, but reactivity has not been tested or confirmed to work by CST. Use of this product with these species is not covered under our Product Performance Guarantee.

    Species predicted to react based on 100% sequence homology:

    Xenopus, Zebrafish, Guinea Pig

    Source / Purification

    Monoclonal antibody is produced by immunizing animals with a synthetic peptide corresponding to residues surrounding Pro583 of human RSK1 protein (Pro587 in hRSK2, Pro580 in hRSK3).

    Background

    The 90 kDa ribosomal S6 kinases (RSK1-4) are a family of widely expressed Ser/Thr kinases characterized by two nonidentical, functional kinase domains (1) and a carboxy-terminal docking site for extracellular signal-regulated kinases (ERKs) (2). Several sites both within and outside of the RSK kinase domain, including Ser380, Thr359, Ser363, and Thr573, are important for kinase activation (3). RSK1-3 are activated via coordinated phosphorylation by MAPKs, autophosphorylation, and phosphoinositide-3-OH kinase (PI3K) in response to many growth factors, polypeptide hormones, and neurotransmitters (3).

    Alternate Names

    90 kDa ribosomal protein S6 kinase 1; 90 kDa ribosomal protein S6 kinase 2; 90 kDa ribosomal protein S6 kinase 3; CLS; dJ590P13.1 (ribosomal protein S6 kinase, 90kD, polypeptide 1); epididymis secretory sperm binding protein; HU-1; HU-2; HU-3; Insulin-stimulated protein kinase 1; ISPK-1; ISPK1; KS6A1; KS6A2; KS6A3; MAP kinase-activated protein kinase 1a; MAP kinase-activated protein kinase 1b; MAP kinase-activated protein kinase 1c; MAPK-activated protein kinase 1a; MAPK-activated protein kinase 1b; MAPK-activated protein kinase 1c; MAPKAP kinase 1a; MAPKAP kinase 1b; MAPKAP kinase 1c; MAPKAPK-1a; MAPKAPK-1b; MAPKAPK-1c; MAPKAPK1; MAPKAPK1A; MAPKAPK1B; MAPKAPK1C; mental retardation, X-linked 19; mitogen-activated protein kinase-activated protein kinase 1C; MRX19; p90-RSK 1; p90-RSK 2; p90-RSK 3; p90-RSK2; p90-RSK3; p90RSK; p90RSK1; p90RSK2; p90RSK3; p90S6K; pp90RSK2; pp90RSK3; ribosomal protein S6 kinase A1; ribosomal protein S6 kinase A2; ribosomal protein S6 kinase A3; ribosomal protein S6 kinase alpha 1; ribosomal protein S6 kinase alpha 2; Ribosomal protein S6 kinase alpha-1; Ribosomal protein S6 kinase alpha-2; Ribosomal protein S6 kinase alpha-3; ribosomal protein S6 kinase, 90kDa, polypeptide 1; ribosomal protein S6 kinase, 90kDa, polypeptide 2; ribosomal protein S6 kinase, 90kDa, polypeptide 3; Ribosomal S6 kinase 1; Ribosomal S6 kinase 2; Ribosomal S6 kinase 3; RPS6KA1; RPS6KA2; RPS6KA3; RSK; RSK-1; RSK-2; RSK-3; RSK1; RSK2; RSK3; S6K-alpha; S6K-alpha 1; S6K-alpha-1; S6K-alpha-2; S6K-alpha-3; S6K-alpha2; S6K-alpha3

    For Research Use Only. Not for Use in Diagnostic Procedures.
    Cell Signaling Technology is a trademark of Cell Signaling Technology, Inc.
    All other trademarks are the property of their respective owners. Visit our Trademark Information page.