Cell Signaling Technology Logo - Extra Large
Trial Size Available Flag
Recombinant Flag
Recombinant: Superior lot-to-lot consistency, continuous supply, and animal-free manufacturing.

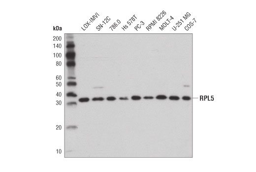
RPL5 (D5Q5X) Rabbit Monoclonal Antibody #51345

Filter:
  • WB

    Product Specifications

    REACTIVITY H Mk
    SENSITIVITY Endogenous
    MW (kDa) 34
    Source/Isotype Rabbit IgG
    Application Key:
    • WB-Western Blotting 
    Species Cross-Reactivity Key:
    • H-Human 
    • Mk-Monkey 

    Product Information

    Product Usage Information

    Application Dilution
    Western Blotting 1:1000

    Storage

    Supplied in 10 mM sodium HEPES (pH 7.5), 150 mM NaCl, 100 µg/ml BSA, 50% glycerol and less than 0.02% sodium azide. Store at –20°C. Do not aliquot the antibody.

    实验步骤

    Specificity / Sensitivity

    RPL5 (D5Q5X) Rabbit Monoclonal Antibody recognizes endogenous levels of total RPL5 protein.

    Species Reactivity:

    Human, Monkey

    The antigen sequence used to produce this antibody shares 100% sequence homology with the species listed here, but reactivity has not been tested or confirmed to work by CST. Use of this product with these species is not covered under our Product Performance Guarantee.

    Species predicted to react based on 100% sequence homology:

    Bovine, Pig, Horse

    Source / Purification

    Monoclonal antibody is produced by immunizing animals with a synthetic peptide corresponding to residues surrounding Gln122 of human RPL5 protein.

    Background

    Ribosomal protein L5 (RPL5) is one of several proteins that comprise the 60S ribosomal subunit. RPL5 binds 5S rRNA and the nucleolar RPL11 protein to form the 5S ribonucleoprotein particle (RNP) that is incorporated into the large 60S ribosomal subunit (1). An RP-MDM2-p53 protein complex that contains ribosomal proteins RPL5, RPL11, and RPL23 acts as a nucleolar stress sensor that binds and inhibits MDM2 ubiquitin ligase activity and enhances p53-mediated transcriptional activity (2,3). RPL5 cooperates with RPL11 to influence ribosome biogenesis through regulating expression of the transcription factor c-Myc, which acts as the master regulator of ribosome biogenesis (4). Mutations in the corresponding RPL5 gene are associated with Diamond-Blackfan anemia, which is a form of red blood cell aplasia, and some cases of pediatric T-cell acute lymphoblastic leukemia (5,6).

    Alternate Names

    60S ribosomal protein L5; DBA6; L5; Large ribosomal subunit protein uL18; MGC117339; MSTP030; PPP1R135; protein phosphatase 1, regulatory subunit 135; ribosomal protein L5; RL5; RPL5; uL18

    For Research Use Only. Not for Use in Diagnostic Procedures.
    Cell Signaling Technology is a trademark of Cell Signaling Technology, Inc.
    All other trademarks are the property of their respective owners. Visit our Trademark Information page.