Cell Signaling Technology Logo - Extra Large
Trial Size Available Flag
Recombinant Flag
Recombinant: Superior lot-to-lot consistency, continuous supply, and animal-free manufacturing.

ROS1 (D4D6) Rabbit Monoclonal Antibody (Autostainer Formulated) #63452

Filter:
  • IHC

    Product Specifications

    REACTIVITY H
    SENSITIVITY Endogenous
    MW (kDa)
    Source/Isotype Rabbit IgG
    Application Key:
    • IHC-Immunohistochemistry 
    Species Cross-Reactivity Key:
    • H-Human 

    Product Information

    Product Usage Information

    Application Dilution
    IHC Leica Bond 1:100 - 1:400

    Storage

    Supplied in 10 mM sodium HEPES (pH 7.5), 150 mM NaCl, 100 µg/ml BSA, 50% glycerol and less than 0.02% sodium azide. Store at –20°C. Do not aliquot the antibody.

    实验步骤

    Specificity / Sensitivity

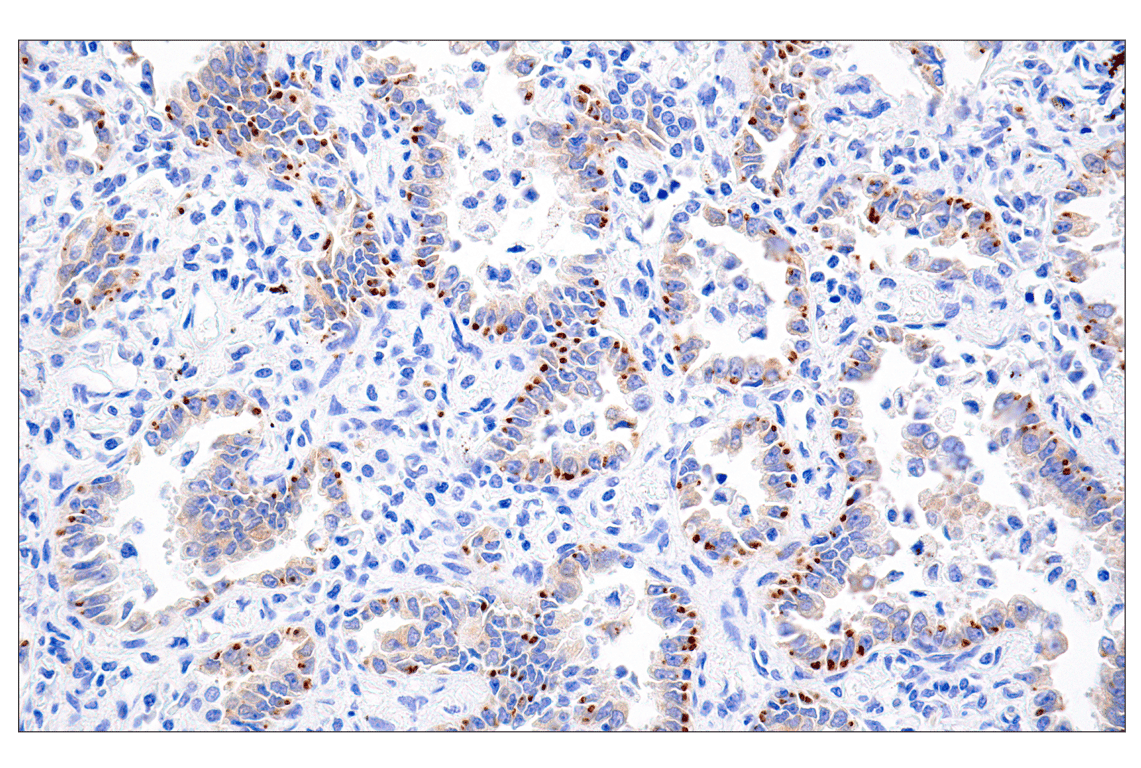
    ROS1 (D4D6) Rabbit Monoclonal Antibody (Autostainer Formulated) recognizes endogenous levels of total ROS1 protein. Please note that staining may be observed in ROS1 rearranged lung carcinomas, macrophages/giant cells, reactive type II pneumocyte hyperplasia, and the epithelium in areas of bronchiolar metaplasia. Staining of unknown specificity has been observed in cholangiocarcinoma, hepatocellular carcinoma, and kidney tissues.

    Species Reactivity:

    Human

    Source / Purification

    Monoclonal antibody is produced by immunizing animals with a protein corresponding to residues in the carboxy-terminal domain of human ROS1 protein.

    Background

    ROS1, an orphan receptor tyrosine kinase of the insulin receptor family, was initially identified as a homolog of v-ros from the UR2 sarcoma virus (1). ROS1 consists of a large extracellular domain that is composed of six fibronectin repeats, a transmembrane domain, and a C-terminal kinase domain. Being an orphan receptor, the functions of ROS1 are not well known, though it has been shown to play an important role in differentiation of epididymal epithelium (2). The first oncogenic fusion of ROS1, FIG-ROS1, was initially identified by research studies in glioblastoma (3), and subsequent studies have found this fusion in cholangiocarcinoma (4), ovarian cancer (5), and non-small cell lung cancer (NSCLC) (6). Investigators have found additional oncogenic ROS1 fusion proteins in NSCLC (at a frequency of ~1.6%), where the ROS1 kinase domain is fused to the amino-terminal region of several different proteins, including CD74 and SLC34A2 (6-8). ROS1 fusion proteins activate the SHP-2 phosphatase, PI3K/Akt/mTOR, Erk, and Stat3 pathways (3,4,9). There are two autophosphorylation sites (Tyr2274, Tyr2334) downstream of the kinase domain of ROS1, either of which may serve as biomarkers of ROS1 kinase activity, including that of ROS1 fusion proteins (10).

    Alternate Names

    c-ros oncogene 1 , receptor tyrosine kinase; c-Ros receptor tyrosine kinase; c-ros-1; MCF3; Proto-oncogene c-Ros; Proto-oncogene c-Ros-1; proto-oncogene c-ros-1 protein; Proto-oncogene tyrosine-protein kinase ROS; Receptor tyrosine kinase c-ros oncogene 1; ROS; ROS proto-oncogene 1 , receptor tyrosine kinase; ROS proto-oncogene 1, receptor tyrosine kinase; ROS1; transmembrane tyrosine-specific protein kinase; v-ros avian UR2 sarcoma virus oncogene homolog 1; v-ros UR2 sarcoma virus oncogene homolog 1

    For Research Use Only. Not for Use in Diagnostic Procedures.
    Cell Signaling Technology is a trademark of Cell Signaling Technology, Inc.
    D4D6 is a registered trademark of Cell Signaling Technology, Inc.
    All other trademarks are the property of their respective owners. Visit our Trademark Information page.