Cell Signaling Technology Logo - Extra Large
Trial Size Available Flag
Recombinant Flag
Recombinant: Superior lot-to-lot consistency, continuous supply, and animal-free manufacturing.

ROBO2 (E4M6D) Rabbit Monoclonal Antibody #45568

Filter:
  • WB
  • IP
  • IF

    Product Specifications

    REACTIVITY H M R
    SENSITIVITY Endogenous
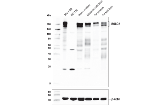
    MW (kDa) 180, 220
    Source/Isotype Rabbit IgG
    Application Key:
    • WB-Western Blotting 
    • IP-Immunoprecipitation 
    • IF-Immunofluorescence 
    Species Cross-Reactivity Key:
    • H-Human 
    • M-Mouse 
    • R-Rat 

    Product Information

    Product Usage Information

    Application Dilution
    Western Blotting 1:1000
    Immunoprecipitation 1:50
    Immunofluorescence (Frozen) 1:400
    Immunofluorescence (Immunocytochemistry) 1:1600

    Storage

    Supplied in 10 mM sodium HEPES (pH 7.5), 150 mM NaCl, 100 µg/ml BSA, 50% glycerol and less than 0.02% sodium azide. Store at –20°C. Do not aliquot the antibody.

    实验步骤

    Specificity / Sensitivity

    ROBO2 (E4M6D) Rabbit Monoclonal Antibody recognizes endogenous levels of total ROBO2 protein.

    Species Reactivity:

    Human, Mouse, Rat

    Source / Purification

    Monoclonal antibody is produced by immunizing animals with a synthetic peptide corresponding to residues surrounding Leu1172 of human ROBO2 protein.

    Background

    ROBO2 is a member of the roundabout (ROBO) receptor family (1). The activation of ROBO2 by SLIT ligand regulates various biological processes, including promoting stem cell senescence via WNT inhibition, destabilizing podocyte actin polymerization and adhesion, and activation of Ena/VASP to facilitate tumor cell extrusion from epithelia (2-5). In development, the SLIT-ROBO pathways play important roles in neuronal axon guidance and synapse function, retinal neurovascular formation, and muscle patterning (6-9). Loss of function mutations of ROBO2 have been associated with urinary tract anomalies and vesicoureteral reflux (10).

    Alternate Names

    KIAA1568; ROBO2; roundabout guidance receptor 2; Roundabout homolog 2; roundabout, axon guidance receptor, homolog 2; roundabout, axon guidance receptor, homolog 2 (Drosophila); SAX3

    For Research Use Only. Not for Use in Diagnostic Procedures.
    Cell Signaling Technology is a trademark of Cell Signaling Technology, Inc.
    All other trademarks are the property of their respective owners. Visit our Trademark Information page.