Cell Signaling Technology Logo - Extra Large
Trial Size Available Flag
Recombinant Flag
Recombinant: Superior lot-to-lot consistency, continuous supply, and animal-free manufacturing.

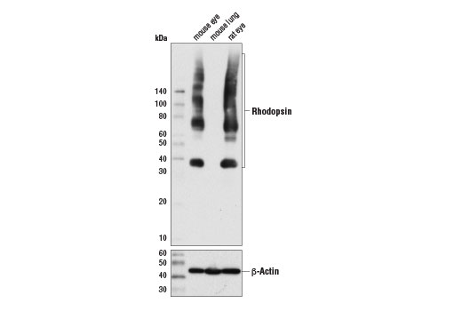
Rhodopsin (D1N7X) Rabbit Monoclonal Antibody #14825

Filter:
  • WB
  • IP

    Product Specifications

    REACTIVITY M R
    SENSITIVITY Endogenous
    MW (kDa) 37, 75, 150
    Source/Isotype Rabbit IgG
    Application Key:
    • WB-Western Blotting 
    • IP-Immunoprecipitation 
    Species Cross-Reactivity Key:
    • M-Mouse 
    • R-Rat 

    Product Information

    Product Usage Information

    Application Dilution
    Western Blotting 1:1000
    Immunoprecipitation 1:50

    Storage

    Supplied in 10 mM sodium HEPES (pH 7.5), 150 mM NaCl, 100 µg/ml BSA, 50% glycerol and less than 0.02% sodium azide. Store at –20°C. Do not aliquot the antibody.

    实验步骤

    Specificity / Sensitivity

    Rhodopsin (D1N7X) Rabbit Monoclonal Antibody recognizes endogenous levels of total rhodopsin protein.

    Species Reactivity:

    Mouse, Rat

    The antigen sequence used to produce this antibody shares 100% sequence homology with the species listed here, but reactivity has not been tested or confirmed to work by CST. Use of this product with these species is not covered under our Product Performance Guarantee.

    Species predicted to react based on 100% sequence homology:

    Human

    Source / Purification

    Monoclonal antibody is produced by immunizing animals with a synthetic peptide corresponding to residues near the amino terminus of human rhodopsin protein.

    Background

    Rhodopsin is the photoreceptor in the retinal rods. It is activated by photons, transduces visual information through its cognate G protein, transducin, and is inactivated by arrestin binding (1). Using atomic-force microscopy, rhodopsin was found to be arranged into paracrystalline arrays of dimers in mouse disc membranes (2). Rhodopsin is considered to be the prototype of G protein-coupled receptors (GPCRs), and is the first GPCR for which a crystal structure was solved (3). Research studies have linked mutations in the gene encoding rhodopsin to retinitis pigmentosa (4,5), a disease characterized by retinal degeneration resulting in reduced peripheral vision and night blindness (6).

    Alternate Names

    CSNBAD1; MGC138309; MGC138311; OPN2; OPSD; opsin 2, rod pigment; Opsin-2; retinitis pigmentosa 4, autosomal dominant; RHO; Rhodopsin; rhodopsin (opsin 2, rod pigment) (retinitis pigmentosa 4, autosomal dominant); RP4

    For Research Use Only. Not for Use in Diagnostic Procedures.
    Cell Signaling Technology is a trademark of Cell Signaling Technology, Inc.
    All other trademarks are the property of their respective owners. Visit our Trademark Information page.