Cell Signaling Technology Logo - Extra Large

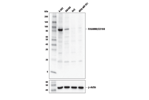
RHAMM/CD168 Antibody #55463

Filter:
  • WB
  • IP

    Product Specifications

    REACTIVITY H
    SENSITIVITY Endogenous
    MW (kDa) 85
    SOURCE Rabbit
    Application Key:
    • WB-Western Blotting 
    • IP-Immunoprecipitation 
    Species Cross-Reactivity Key:
    • H-Human 

    Product Information

    Product Usage Information

    Application Dilution
    Western Blotting 1:1000
    Immunoprecipitation 1:100

    Storage

    Supplied in 10 mM sodium HEPES (pH 7.5), 150 mM NaCl, 100 µg/ml BSA and 50% glycerol. Store at –20°C. Do not aliquot the antibody.

    实验步骤

    Specificity / Sensitivity

    RHAMM/CD168 Antibody recognizes endogenous levels of total RHAMM/CD168 protein.

    Species Reactivity:

    Human

    Source / Purification

    Polyclonal antibodies are produced by immunizing animals with a synthetic peptide corresponding to residues near the carboxy terminus of human RHAMM/CD168 protein. The antigenic peptide spans a region that is 100% conserved among the four isoforms of RHAMM/CD168 reported in Uniprot. Antibodies are purified by protein A and peptide affinity chromatography.

    Background

    Receptor for Hyaluronic acid-Mediated Motility (RHAMM, known also as CD168 or HMMR) was first identified as a putative receptor for hyaluronic acid (HA) that modulated HA-mediated cell motility (1). RHAMM/CD168 is functionally similar to the HA receptor CD44; however in contrast to CD44, RHAMM/CD168 does not contain a transmembrane domain or a signal peptide leader sequence, and so is not targeted exclusively to the cell membrane (1). RHAMM/CD168 has multiple isoforms; some are reportedly exported to the cell membrane in response to signaling by growth factors and cytokines (e.g., TGF-β) (2, 3), whereas others have been implicated in intracellular functions including mitotic spindle regulation (4). Cell surface RHAMM/CD168 is localized to membrane ruffles, consistent with proteins that regulate cell motility (1). Numerous research studies have reported that the expression of RHAMM/CD168 is positively associated with cancer cell growth, motility and/or metastasis (5-7), in addition to HA-mediated inflammation (8), suggesting the potential for therapeutic approaches that target HA-receptor mediated signaling (9,10).

    Alternate Names

    CD168; HMMR; Hyaluronan mediated motility receptor; hyaluronan-mediated motility receptor (RHAMM); IHABP; intracellular hyaluronic acid binding protein; Intracellular hyaluronic acid-binding protein; MGC119494; MGC119495; Receptor for hyaluronan-mediated motility; RHAMM

    For Research Use Only. Not for Use in Diagnostic Procedures.
    Cell Signaling Technology is a trademark of Cell Signaling Technology, Inc.
    All other trademarks are the property of their respective owners. Visit our Trademark Information page.