Render Target: STATIC
Render Timestamp:
5/28/2026, 8:23:10 PM EDT
5/29/2026, 12:23:10 AM UTC
Commit: 7ed46ecc04b401f23a28df741b5078df405d23e4
XML generation date: 2025-11-12 16:18:30.595
Product last modified at: 2026-03-20T08:01:15.713Z
Cell Signaling Technology Logo - Extra Large
1% for the planet logo
PDP - Template Name: Monoclonal Antibody
PDP - Template ID: *******c5e4b77
Trial Size Available Flag
Recombinant Flag
Recombinant: Superior lot-to-lot consistency, continuous supply, and animal-free manufacturing.

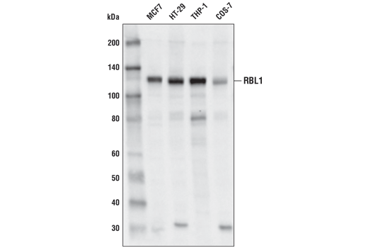
RBL1 (D3P3C) Rabbit Monoclonal Antibody #89798

Filter:
  • WB
  • IP

    Product Specifications

    REACTIVITY H Mk
    SENSITIVITY Endogenous
    MW (kDa) 121
    Source/Isotype Rabbit IgG
    Application Key:
    • WB-Western Blotting 
    • IP-Immunoprecipitation 
    Species Cross-Reactivity Key:
    • H-Human 
    • Mk-Monkey 

    Product Information

    Product Usage Information

    Application Dilution
    Western Blotting 1:1000
    Immunoprecipitation 1:200

    Storage

    Supplied in 10 mM sodium HEPES (pH 7.5), 150 mM NaCl, 100 µg/ml BSA, 50% glycerol and less than 0.02% sodium azide. Store at –20°C. Do not aliquot the antibody.

    实验步骤

    Specificity / Sensitivity

    RBL1 (D3P3C) Rabbit Monoclonal Antibody recognizes endogenous levels of total RBL1 protein. This antibody does not cross-react with the Rb or RBL2 proteins.

    Species Reactivity:

    Human, Monkey

    Source / Purification

    Monoclonal antibody is produced by immunizing animals with a synthetic peptide corresponding to residues surrounding Pro341 of human RBL1 protein.

    Background

    The retinoblastoma (Rb) tumor suppressor family includes the retinoblastoma protein Rb (p105), retinoblastoma-like protein 1 (RBL1, p107), and retinoblastoma-like protein 2 (RBL2, p130). These Rb family proteins are referred to as "pocket proteins" because they contain a conserved binding pocket region that interacts with critical regulatory proteins, including E2F family transcription factors, c-Abl tyrosine kinase, and proteins containing a conserved LXCXE motif (1,2). In quiescent G0 phase cells, active Rb proteins hypophosphorylate and bind to E2F transcription factors to repress transcription and inhibit cell cycle progression (1,2). Upon growth factor induction of quiescent cells, Rb proteins become hyperphosphorylated and inactivated by G1-phase cyclinD-cdk4/6, G1/S-phase cyclin E-cdk2, and G1/S-phase cyclin A-cdk2 complexes (1,2). Hyperphosphorylation of Rb proteins results in a loss of E2F binding and allows for transcriptional activation and cell cycle progression (1,2). In addition to regulating the cell cycle, Rb proteins regulate chromosome stability, induction, and maintenance of senescence, apoptosis, cellular differentiation, and angiogenesis (3).

    Retinoblastoma-like protein 1 (RBL1, p107) interacts with E2F4 and E2F5 to recruit the DP, RB-like, E2F, and MuvB protein (DREAM) complex to E2F target genes to repress transcription of multiple genes required for progression into S phase and mitosis (4-6). Hypophosphorylation of RBL1 during cellular senescence is required for maintenance of senescent cells (7,8).

    Alternate Names

    107 kDa retinoblastoma-associated protein; cellular protein 107; CP107; MGC40006; p107; pRb1; RB transcriptional corepressor like 1; Rb-like 1; RBL1; retinoblastoma-like 1; retinoblastoma-like 1 (p107); Retinoblastoma-like protein 1

    For Research Use Only. Not for Use in Diagnostic Procedures.
    Cell Signaling Technology is a trademark of Cell Signaling Technology, Inc.
    All other trademarks are the property of their respective owners. Visit our Trademark Information page.