Cell Signaling Technology Logo - Extra Large
Trial Size Available Flag
Recombinant Flag
Recombinant: Superior lot-to-lot consistency, continuous supply, and animal-free manufacturing.

Ras (G12V Mutant Specific) (D2H12) Rabbit Monoclonal Antibody #14412

Filter:
  • WB

    Product Specifications

    REACTIVITY H
    SENSITIVITY Endogenous
    MW (kDa) 21
    Source/Isotype Rabbit IgG
    Application Key:
    • WB-Western Blotting 
    Species Cross-Reactivity Key:
    • H-Human 

    Product Information

    Product Usage Information

    Application Dilution
    Western Blotting 1:1000
    Simple Western™ 1:10 - 1:50

    Storage

    Supplied in 10 mM sodium HEPES (pH 7.5), 150 mM NaCl, 100 µg/ml BSA, 50% glycerol and less than 0.02% sodium azide. Store at –20°C. Do not aliquot the antibody.

    实验步骤

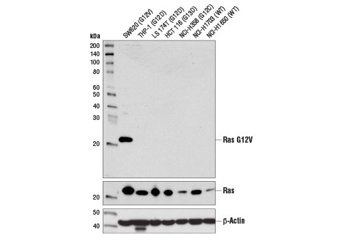
    Specificity / Sensitivity

    Ras (G12V Mutant Specific) (D2H12) Rabbit Monoclonal Antibody recognizes endogenous levels of Ras G12V mutant protein.

    Species Reactivity:

    Human

    The antigen sequence used to produce this antibody shares 100% sequence homology with the species listed here, but reactivity has not been tested or confirmed to work by CST. Use of this product with these species is not covered under our Product Performance Guarantee.

    Species predicted to react based on 100% sequence homology:

    Mouse, Rat

    Source / Purification

    Monoclonal antibody is produced by immunizing animals with a synthetic peptide corresponding to G12V mutant sequence of human Ras protein.

    Background

    The 21 kDa guanine-nucleotide binding proteins (K-Ras, H-Ras, and N-Ras) cycle between active (GTP-bound) and inactive (GDP-bound) forms (1). Receptor tyrosine kinases and G protein-coupled receptors activate Ras, which then stimulates the Raf-MEK-MAPK pathway (2-4). GTPase-activating proteins (GAPs) normally facilitate the inactivation of Ras. However, research studies have shown that in 30% of human tumors, point mutations in Ras prevent the GAP-mediated inhibition of this pathway (5). The most common oncogenic Ras mutation found in tumors is Gly12 to Asp12 (G12D), which prevents Ras inactivation, possibly by increasing the overall rigidity of the protein (5,6).

    Additional oncogenic mutations of Ras have been observed at varying frequencies at codons 12, 13, and 61. The Gly12 to Val12 (G12V) mutation has been detected in a number of different cancers, including colorectal and thyroid cancer (7,8).

    Alternate Names

    'C-K-RAS; c-K-ras; c-Ki-ras; c-Ki-ras2; c-Kirsten-ras protein; cellular c-Ki-ras2 proto-oncogene; cellular transforming proto-oncogene; CFC2; GTPase KRas; GTPase KRas, N-terminally processed; K-Ras; K-Ras 2; K-ras p21 protein; K-RAS2A; K-RAS2B; K-RAS4A; K-RAS4B; Ki-Ras; Kirsten rat sarcoma viral oncogene homolog; Kirsten rat sarcoma viral proto-oncogene; Kirsten rat sarcoma-2 viral (v-Ki-ras2) oncogene homolog; KRAS; KRAS proto-oncogene, GTPase; KRAS1; KRAS2; NS; NS3; OES; oncogene KRAS2; PR310 c-K-ras oncogene; RALD; RASK; RASK2; transforming protein p21; v-Ki-ras2 Kirsten rat sarcoma 2 viral oncogene homolog; v-Ki-ras2 Kirsten rat sarcoma viral oncogene homolog

    For Research Use Only. Not for Use in Diagnostic Procedures.
    Cell Signaling Technology is a trademark of Cell Signaling Technology, Inc.
    All other trademarks are the property of their respective owners. Visit our Trademark Information page.