Cell Signaling Technology Logo - Extra Large
Trial Size Available Flag
Recombinant Flag
Recombinant: Superior lot-to-lot consistency, continuous supply, and animal-free manufacturing.

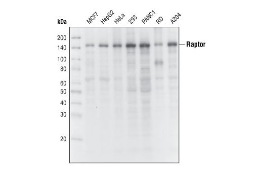
Raptor (24C12) Rabbit Monoclonal Antibody #2280

Filter:
  • WB
  • IP

    Product Specifications

    REACTIVITY H M R Mk
    SENSITIVITY Endogenous
    MW (kDa) 150
    Source/Isotype Rabbit
    Application Key:
    • WB-Western Blotting 
    • IP-Immunoprecipitation 
    Species Cross-Reactivity Key:
    • H-Human 
    • M-Mouse 
    • R-Rat 
    • Mk-Monkey 

    Product Information

    Product Usage Information

    Application Dilution
    Western Blotting 1:1000
    Simple Western™ 1:10 - 1:50
    Immunoprecipitation 1:50

    Storage

    Supplied in 10 mM sodium HEPES (pH 7.5), 150 mM NaCl, 100 µg/ml BSA, 50% glycerol and less than 0.02% sodium azide. Store at –20°C. Do not aliquot the antibody.

    实验步骤

    Specificity / Sensitivity

    Raptor (24C12) Rabbit Monoclonal Antibody detects endogenous levels of total Raptor protein.

    Species Reactivity:

    Human, Mouse, Rat, Monkey

    Source / Purification

    Raptor (24C12) Rabbit mAb is produced by immunizing rabbits with a synthetic peptide corresponding to the sequence of human Raptor.

    Background

    The regulatory associated protein of mTOR (Raptor) was identified as an mTOR binding partner that mediates mTOR signaling to downstream targets (1,2). Raptor binds to mTOR substrates, including 4E-BP1 and p70 S6 kinase, through their TOR signaling (TOS) motifs and is required for mTOR-mediated phosphorylation of these substrates (3,4). Binding of the FKBP12-rapamycin complex to mTOR inhibits the mTOR-raptor interaction, suggesting a mechanism for rapamycin's specific inhibition of mTOR signaling (5). This mTOR-raptor interaction and its regulation by nutrients and/or rapamycin is dependent on a protein called GβL (6). GβL is also part of the rapamycin-insensitive complex between mTOR and rictor (rapamycin-insensitive companion of mTOR), and may mediate rictor-mTOR signaling to downstream targets including PKCα (7). Furthermore, the rictor-mTOR complex has been identified as the previously elusive PDK2 responsible for the phosphorylation of Akt/PKB on Ser473, facilitating phosphorylation of Akt/PKB on Thr308 by PDK1 and required for the full activation of Akt/PKB (8).

    Recently raptor has been identified as a direct substrate of the AMP-activated protein kinase (AMPK) (9). AMPK phosphorylates raptor on Ser722/Ser792 (9). This phosphorylation is essential for inhibition of the raptor-containing mTOR complex 1 (mTORC1) and induces cell cycle arrest when cells are stressed for energy (9). These findings suggest that raptor is a critical switch that correlates cell cycle progression with energy status.

    Alternate Names

    KIAA1303; KOG1; Mip1; p150 target of rapamycin (TOR)-scaffold protein; p150 target of rapamycin (TOR)-scaffold protein containing WD-repeats; RAPTOR; regulatory associated protein of MTOR complex 1; regulatory associated protein of MTOR, complex 1; Regulatory-associated protein of mTOR; RPTOR

    For Research Use Only. Not for Use in Diagnostic Procedures.
    Cell Signaling Technology is a trademark of Cell Signaling Technology, Inc.
    All other trademarks are the property of their respective owners. Visit our Trademark Information page.