Cell Signaling Technology Logo - Extra Large
Trial Size Available Flag
Recombinant Flag
Recombinant: Superior lot-to-lot consistency, continuous supply, and animal-free manufacturing.

RAP80 (D1T6Q) Rabbit Monoclonal Antibody #14466

Filter:
  • WB
  • IF

    Product Specifications

    REACTIVITY H
    SENSITIVITY Endogenous
    MW (kDa) 90
    Source/Isotype Rabbit IgG
    Application Key:
    • WB-Western Blotting 
    • IF-Immunofluorescence 
    Species Cross-Reactivity Key:
    • H-Human 

    Product Information

    Product Usage Information

    Application Dilution
    Western Blotting 1:1000
    Immunofluorescence (Immunocytochemistry) 1:400

    Storage

    Supplied in 10 mM sodium HEPES (pH 7.5), 150 mM NaCl, 100 µg/ml BSA, 50% glycerol and less than 0.02% sodium azide. Store at –20°C. Do not aliquot the antibody.

    实验步骤

    Specificity / Sensitivity

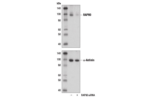
    RAP80 (D1T6Q) Rabbit Monoclonal Antibody recognizes endogenous levels of total RAP80 protein.

    Species Reactivity:

    Human

    Source / Purification

    Monoclonal antibody is produced by immunizing animals with a synthetic peptide corresponding to residues surrounding Gly321 of human RAP80 protein.

    Background

    The breast cancer type 1 susceptibility protein (BRCA1) is an E3 ubiquitin ligase that functions in the maintenance of genome stability through regulation of the DNA damage response and DNA repair. BRCA1 protein forms at least three distinct complexes (BRCA1 A, B, and C) with other DNA repair proteins, and these interactions are vital for regulation of BRCA1 protein function. The BRCA1-RAP80 complex (BRCA1 A complex) includes RAP80, BRCC36, BRE, Abraxas, and NBA1 and functions in G2/M phase checkpoint control (reviewed in 1,2).
    The ubiquitously expressed receptor-associated protein 80 (RAP80, UIMC1) is required for recruitment and stability of the BRCA1 A complex at sites of DNA damage (3). Research studies indicate that the absence of RAP80 in cells results in increased sensitivity to the topoisomerase II inhibitor etoposide (4). In the absence of functional RAP80, BRCA1 A complex function is suppressed and cells become more sensitive to DNA damage-induced genome instability (5,6). Phosphorylation of RAP80 by CDK1/Cyclin B at Ser177 regulates RAP80 function at the mitotic checkpoint (7). A naturally occurring in-frame deletion mutant within RAP80 likely alters RAP80 protein-protein interactions and is associated with an increase in chromosomal abnormalities (8,9).

    Alternate Names

    BRCA1-A complex subunit RAP80; RAP80; receptor associated protein 80; Receptor-associated protein 80; retinoid x receptor interacting protein; Retinoid X receptor-interacting protein 110; RXRIP110; ubiquitin interaction motif containing 1; Ubiquitin interaction motif-containing protein 1; UIMC1; X2HRIP110

    For Research Use Only. Not for Use in Diagnostic Procedures.
    Cell Signaling Technology is a trademark of Cell Signaling Technology, Inc.
    SignalSilence is a registered trademark of Cell Signaling Technology, Inc.
    All other trademarks are the property of their respective owners. Visit our Trademark Information page.