Cell Signaling Technology Logo - Extra Large
Recombinant Flag
Recombinant: Superior lot-to-lot consistency, continuous supply, and animal-free manufacturing.

RagC (D8H5) Rabbit Monoclonal Antibody (BSA and Azide Free) #34037

Filter:
  • WB
  • IF
  • F

    Product Specifications

    REACTIVITY H M R Mk
    SENSITIVITY Endogenous
    MW (kDa) 50
    Source/Isotype Rabbit IgG
    Application Key:
    • WB-Western Blotting 
    • IF-Immunofluorescence 
    • F-Flow Cytometry 
    Species Cross-Reactivity Key:
    • H-Human 
    • M-Mouse 
    • R-Rat 
    • Mk-Monkey 

    Product Information

    Product Usage Information

    This product is the carrier free version of product #9480. All data were generated using the same antibody clone in the standard formulation which contains BSA and glycerol.

    This formulation is ideal for use with technologies requiring specialized or custom antibody labeling, including fluorophores, metals, lanthanides, and oligonucleotides. It is not recommended for ChIP, ChIP-seq, CUT&RUN or CUT&Tag assays. If you require a carrier free formulation for chromatin profiling, please contact us. Optimal dilutions/concentrations should be determined by the end user.

    BSA and Azide Free antibodies are quality control tested by size exclusion chromatography (SEC) to determine antibody integrity.

    Formulation

    Supplied in 1X PBS (10 mM Na2HPO4, 3 mM KCl, 2 mM KH2PO4, and 140 mM NaCl (pH 7.8)). BSA and Azide Free.

    For standard formulation of this product see product #9480

    Storage

    Store at -20°C. This product will freeze at -20°C so it is recommended to aliquot into single-use vials to avoid multiple freeze/thaw cycles. A slight precipitate may be present and can be dissolved by gently vortexing. This will not interfere with antibody performance.

    Specificity / Sensitivity

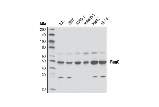
    RagC (D8H5) Rabbit Monoclonal Antibody (BSA and Azide Free) detects endogenous levels of total RagC protein.

    Species Reactivity:

    Human, Mouse, Rat, Monkey

    Source / Purification

    Monoclonal antibody is produced by immunizing animals with a synthetic peptide corresponding to residues in the amino terminus of human RagC.

    Background

    The mTORC1 kinase complex is a critical regulator of cell growth (1,2). Its activity is modulated by energy levels, growth factors, and amino acids via signaling through Akt, MAPK, and AMPK pathways (3,4). Recent studies found that the four related GTPases, RagA, RagB, RagC, and RagD, interact with raptor within the mTORC1 complex (1,2). These interactions are both necessary and sufficient for mTORC1 activation in response to amino acid signals (1,2).

    Alternate Names

    FLJ13311; GTPase-interacting protein 2; GTR2; Rag C; Rag C protein; RagC; Ras related GTP binding C; Ras-related GTP binding C; Ras-related GTP-binding protein C; RRAGC; TIB929

    For Research Use Only. Not for Use in Diagnostic Procedures.
    Cell Signaling Technology is a trademark of Cell Signaling Technology, Inc.
    All other trademarks are the property of their respective owners. Visit our Trademark Information page.