Cell Signaling Technology Logo - Extra Large
Trial Size Available Flag
Recombinant Flag
Recombinant: Superior lot-to-lot consistency, continuous supply, and animal-free manufacturing.

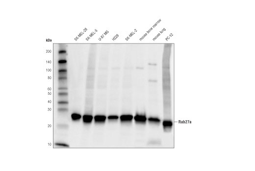
Rab27A (D7Z9Q) Rabbit Monoclonal Antibody #69295

Filter:
  • WB
  • IP
  • IF

    Product Specifications

    REACTIVITY H M R
    SENSITIVITY Endogenous
    MW (kDa) 27
    Source/Isotype Rabbit IgG
    Application Key:
    • WB-Western Blotting 
    • IP-Immunoprecipitation 
    • IF-Immunofluorescence 
    Species Cross-Reactivity Key:
    • H-Human 
    • M-Mouse 
    • R-Rat 

    Product Information

    Product Usage Information

    Application Dilution
    Western Blotting 1:1000
    Immunoprecipitation 1:100
    Immunofluorescence (Immunocytochemistry) 1:800 - 1:1600

    Storage

    Supplied in 10 mM sodium HEPES (pH 7.5), 150 mM NaCl, 100 µg/ml BSA, 50% glycerol and less than 0.02% sodium azide. Store at –20°C. Do not aliquot the antibody.

    For a carrier free (BSA and azide free) version of this product see product #58990.

    Protocol

    Specificity / Sensitivity

    Rab27A (D7Z9Q) Rabbit Monoclonal Antibody recognizes endogenous levels of total Rab27a protein.

    Species Reactivity:

    Human, Mouse, Rat

    Source / Purification

    Monoclonal antibody is produced by immunizing animals with a synthetic peptide corresponding to residues near the carboxy terminus of human Rab27a protein.

    Background

    Rab27 is a member of the Ras superfamily of small Rab GTPases implicated in exocytosis (1-2). The protein is localized in secretory lysosomes, such as melanosomes in melanocyte or lytic granules in cytotoxic T cells to control exosome secretion pathway (3-5). Rab27 has two isoforms, Rab27a and Rab27b. Rab27a colocalizes with part of CD63 staining vesicles, and Rab27b shows perinuclear distribution. Target knock out studies indicate that the isoforms control different steps of the exosome secretion pathway (6). Rab27a interacts with a wide range of effectors and is involved in multiple steps of exocytosis depending on the effector it associated with and the cell type that is involved (1,2). Rab27a has been shown to be an important player in leukocyte function, cancer metastasis and invasion, and insulin secretion (7-11)

    Alternate Names

    GS2; GTP-binding protein Ram; HsT18676; MGC117246; mutant Ras-related protein Rab-27A; Rab-27; RAB27; RAB27A; RAB27A, member RAS oncogene family; RAM; Ras-related protein Rab-27A; RB27A

    For Research Use Only. Not for Use in Diagnostic Procedures.
    Cell Signaling Technology is a trademark of Cell Signaling Technology, Inc.
    All other trademarks are the property of their respective owners. Visit our Trademark Information page.