Render Target: STATIC
Render Timestamp:
5/20/2026, 7:44:52 PM EDT
5/20/2026, 11:44:52 PM UTC
Commit: 7ed46ecc04b401f23a28df741b5078df405d23e4
XML generation date: 2025-11-12 16:13:14.354
Product last modified at: 2026-03-20T08:06:04.351Z
Cell Signaling Technology Logo - Extra Large
1% for the planet logo
PDP - Template Name: Monoclonal Antibody
PDP - Template ID: *******c5e4b77
Trial Size Available Flag
Recombinant Flag
Recombinant: Superior lot-to-lot consistency, continuous supply, and animal-free manufacturing.

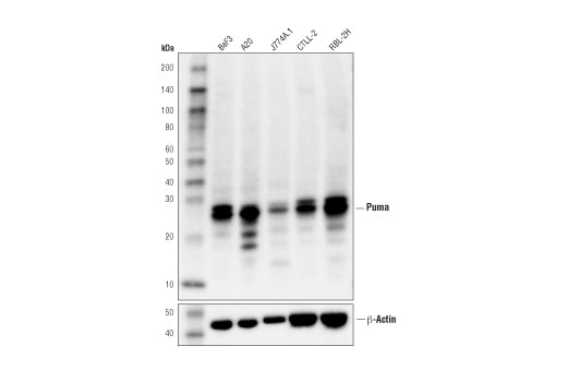
Puma (D7L9L) Rabbit Monoclonal Antibody #24633

Filter:
  • WB
  • IP
  • IF

    Product Specifications

    REACTIVITY M R
    SENSITIVITY Endogenous
    MW (kDa) 23-25
    Source/Isotype Rabbit IgG
    Application Key:
    • WB-Western Blotting 
    • IP-Immunoprecipitation 
    • IF-Immunofluorescence 
    Species Cross-Reactivity Key:
    • M-Mouse 
    • R-Rat 

    Product Information

    Product Usage Information

    Application Dilution
    Western Blotting 1:1000
    Immunoprecipitation 1:200
    Immunofluorescence (Immunocytochemistry) 1:800

    Storage

    Supplied in 10 mM sodium HEPES (pH 7.5), 150 mM NaCl, 100 µg/ml BSA, 50% glycerol and less than 0.02% sodium azide. Store at –20°C. Do not aliquot the antibody.

    实验步骤

    Specificity / Sensitivity

    Puma (D7L9L) Rabbit Monoclonal Antibody recognizes endogenous levels of total Puma protein in mouse and rat.

    Species Reactivity:

    Mouse, Rat

    Source / Purification

    Monoclonal antibody is produced by immunizing animals with a synthetic peptide corresponding to residues surrounding Arg84 of mouse Puma protein.

    Background

    Puma (p53 upregulated modulator of apoptosis) is a "BH3-only" Bcl-2 family member originally identified in differential gene expression studies as a p53-inducible gene (1,2). The "BH3-only" family members include Bad, Bid, Bik, Hrk, Bim, and Noxa, all of which contain a BH3 domain but lack other conserved domains, BH1 and BH2, and generally promote apoptosis by binding to and antagonizing anti-apoptotic Bcl-2 family members through BH3 domain interactions (3). Two BH3-containing proteins are produced from the puma gene, Puma-α and Puma-β, both of which are induced by p53, bind Bcl-2 and Bcl-xL, localize to the mitochondria, and promote cytochrome c release and apoptosis (1,2). Puma plays a critical role in the p53 tumor suppressor pathway. Targeted disruption of the puma gene impairs p53-mediated apoptosis and tumor suppression (4-7). Puma knockout mice show defects from multiple apoptotic stimuli, including ionizing irradiation, deregulated c-Myc expression, and cytokine withdrawal (4).

    Alternate Names

    Bbc3; Bcl-2 binding component 3; Bcl-2-binding component 3; BCL2 binding component 3; BH3-only; OTTMUSP00000025190; p53 up-regulated modulator of apoptosis; Puma; PUMA/JFY1

    For Research Use Only. Not for Use in Diagnostic Procedures.
    Cell Signaling Technology is a trademark of Cell Signaling Technology, Inc.
    All other trademarks are the property of their respective owners. Visit our Trademark Information page.