Cell Signaling Technology Logo - Extra Large

PSMD10/Gankyrin Antibody #12985

Filter:
  • WB

    Product Specifications

    REACTIVITY H M R Mk
    SENSITIVITY Endogenous
    MW (kDa) 25
    SOURCE Rabbit
    Application Key:
    • WB-Western Blotting 
    Species Cross-Reactivity Key:
    • H-Human 
    • M-Mouse 
    • R-Rat 
    • Mk-Monkey 

    Product Information

    Product Usage Information

    Application Dilution
    Western Blotting 1:1000

    Storage

    Supplied in 10 mM sodium HEPES (pH 7.5), 150 mM NaCl, 100 µg/ml BSA and 50% glycerol. Store at –20°C. Do not aliquot the antibody.

    Protocol

    Specificity / Sensitivity

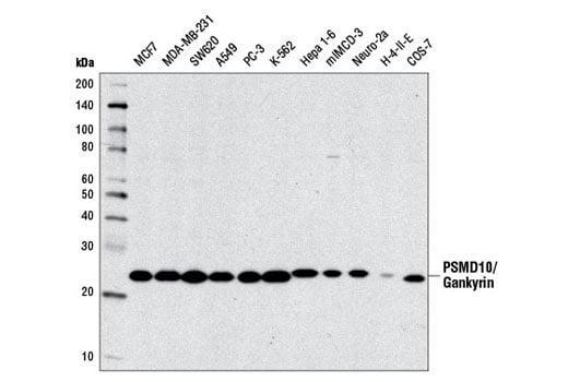
    PSMD10/Gankyrin Antibody recognizes endogenous levels of total PSMD10/Gankyrin protein.

    Species Reactivity:

    Human, Mouse, Rat, Monkey

    The antigen sequence used to produce this antibody shares 100% sequence homology with the species listed here, but reactivity has not been tested or confirmed to work by CST. Use of this product with these species is not covered under our Product Performance Guarantee.

    Species predicted to react based on 100% sequence homology:

    Dog, Pig

    Source / Purification

    Polyclonal antibodies are produced by immunizing animals with a synthetic peptide corresponding to residues near the carboxy terminus of human PSMD10/Gankyrin protein. Antibodies are purified by protein A and peptide affinity chromatography.

    Background

    PSMD10/Gankyrin is an ankyrin-repeat chaperone protein that is involved in the assembly of the 19S regulatory particle of the proteasome (1). Reasearch studies have demonstrated that PSMD10 is oncogenic and is overexpressed in hepatocullar carcinomas (2). Investigators believe the oncogenicity of PSMD10 may be linked to its ability to bind and regulate the stability and activity of pRB, CDK4, MDM2, and RelA (2-5).

    Alternate Names

    26S proteasome non-ATPase regulatory subunit 10; 26S proteasome regulatory subunit p28; ankyrin repeat protein; dJ889N15.2; Gankyrin; hepatocellular carcinoma-associated protein p28-II; p28; p28(GANK); proteasome (prosome, macropain) 26S subunit, non-ATPase, 10; proteasome 26S non-ATPase subunit 10; proteasome 26S subunit, non-ATPase 10; PSD10; PSMD10

    For Research Use Only. Not for Use in Diagnostic Procedures.
    Cell Signaling Technology is a trademark of Cell Signaling Technology, Inc.
    All other trademarks are the property of their respective owners. Visit our Trademark Information page.