Cell Signaling Technology Logo - Extra Large
Trial Size Available Flag
Recombinant Flag
Recombinant: Superior lot-to-lot consistency, continuous supply, and animal-free manufacturing.

PSMC2 (D5T1T) Rabbit Monoclonal Antibody #14395

Filter:
  • WB

    Product Specifications

    REACTIVITY H M R Mk
    SENSITIVITY Endogenous
    MW (kDa) 47
    Source/Isotype Rabbit IgG
    Application Key:
    • WB-Western Blotting 
    Species Cross-Reactivity Key:
    • H-Human 
    • M-Mouse 
    • R-Rat 
    • Mk-Monkey 

    Product Information

    Product Usage Information

    Application Dilution
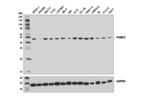
    Western Blotting 1:1000

    Storage

    Supplied in 10 mM sodium HEPES (pH 7.5), 150 mM NaCl, 100 µg/ml BSA, 50% glycerol and less than 0.02% sodium azide. Store at –20°C. Do not aliquot the antibody.

    实验步骤

    Specificity / Sensitivity

    PSMC2 (D5T1T) Rabbit Monoclonal Antibody recognizes endogenous levels of total PSMC2 protein. This antibody does not cross-react with other AAA-ATPase subunits of the 19S proteasome regulatory particle.

    Species Reactivity:

    Human, Mouse, Rat, Monkey

    Source / Purification

    Monoclonal antibody is produced by immunizing animals with a synthetic peptide corresponding to residues near the amino terminus of human PSMC2 protein.

    Background

    The 26S proteasome is a highly abundant proteolytic complex involved in the degradation of ubiquitinated substrate proteins. It consists largely of two sub-complexes, the 20S catalytic core particle (CP) and the 19S/PA700 regulatory particle (RP) that can cap either end of the CP. The CP consists of two stacked heteroheptameric β-rings (β1-7) that contain three catalytic β-subunits and are flanked on either side by two heteroheptameric α-rings (α1-7). The RP includes a base and a lid, each having multiple subunits. The base, in part, is composed of a heterohexameric ring of ATPase subunits belonging to the AAA (ATPases Associated with diverse cellular Activities) family. The ATPase subunits function to unfold the substrate and open the gate formed by the α-subunits, thus exposing the unfolded substrate to the catalytic β-subunits. The lid consists of ubiquitin receptors and DUBs that function in recruitment of ubiquitinated substrates and modification of ubiquitin chain topology (1,2). Other modulators of proteasome activity, such as PA28/11S REG, can also bind to the end of the 20S CP and activate it (1,2).
    The base of the eukaryotic proteasome 19S/PA700 RP contains six AAA-ATPase subunits (PSMC1-PSMC6) that bind directly to the 20S CP α-ring. These 19S RP ATPases are thought to assemble into a heterohexameric, pore-like structure that forms part of the substrate translocation channel. Energy derived from ATP hydrolysis by the AAA-ATPases is utilized for substrate unfolding and translocation, which is required for degradation of ubiquitinated folded proteins within the central chamber of the 20S CP formed by β-subunits (3-5). PSMC2 (RPT1, MSS1) is a AAA-ATPase subunit of the 19S/PA700 RP. Research studies have shown that PSMC2 is associated with several components of the basal transcriptional machinery suggesting that PSMC2, in addition to participating in proteasome-dependent degradation of proteins, may also play a role in gene transcription (6). More recently, it has been shown that numerous human cancer cell lines have reduced PSMC2 expression resulting from loss of PSMC2 copy number loss and display a strict threshold requirement for PSMC2 levels in order to sustain a proliferative advantage (7).

    Alternate Names

    26S protease regulatory subunit 7; 26S proteasome AAA-ATPase subunit RPT1; 26S proteasome regulatory subunit 7; mammalian suppressor of sgv-1 of yeast; MGC3004; MSS1; Nbla10058; protease 26S subunit 7; proteasome (prosome, macropain) 26S subunit, ATPase, 2; proteasome 26S ATPase subunit 2; Proteasome 26S subunit ATPase 2; proteasome 26S subunit, ATPase 2; proteasome 26S subunit, ATPase, 2; Protein MSS1; PRS7; PSMC2; putative protein product of Nbla10058; RPT1; S7; testis secretory sperm-binding protein Li 197a

    For Research Use Only. Not for Use in Diagnostic Procedures.
    Cell Signaling Technology is a trademark of Cell Signaling Technology, Inc.
    All other trademarks are the property of their respective owners. Visit our Trademark Information page.