Cell Signaling Technology Logo - Extra Large
Trial Size Available Flag
Recombinant Flag
Recombinant: Superior lot-to-lot consistency, continuous supply, and animal-free manufacturing.

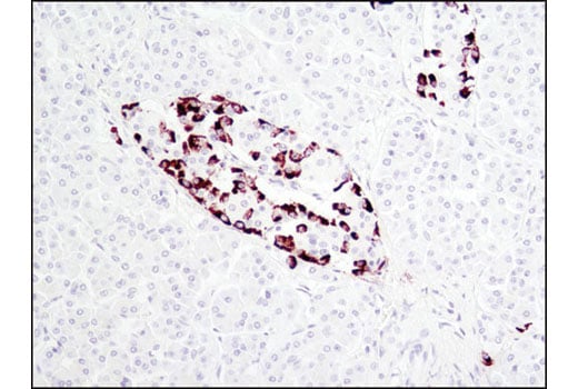
Proglucagon (D16G10) Rabbit Monoclonal Antibody #8233

Filter:
  • IHC
  • IF

    Product Specifications

    REACTIVITY H M R
    SENSITIVITY Endogenous
    MW (kDa)
    Source/Isotype Rabbit IgG
    Application Key:
    • IHC-Immunohistochemistry 
    • IF-Immunofluorescence 
    Species Cross-Reactivity Key:
    • H-Human 
    • M-Mouse 
    • R-Rat 

    Product Information

    Product Usage Information

    Application Dilution
    Immunohistochemistry (Paraffin) 1:400
    Immunofluorescence (Frozen) 1:400

    Storage

    Supplied in 10 mM sodium HEPES (pH 7.5), 150 mM NaCl, 100 µg/ml BSA, 50% glycerol and less than 0.02% sodium azide. Store at –20°C. Do not aliquot the antibody.

    For a carrier free (BSA and azide free) version of this product see product #29302.

    实验步骤

    Specificity / Sensitivity

    Proglucagon (D16G10) Rabbit Monoclonal Antibody recognizes endogenous levels of total proglucagon protein.

    Species Reactivity:

    Human, Mouse, Rat

    Source / Purification

    Monoclonal antibody is produced by immunizing animals with a synthetic peptide corresponding to residues surrounding Ala137 of human proglucagon protein.

    Background

    Glucose homeostasis is regulated by a variety of hormones, including glucagon. Glucagon is synthesized as the precursor molecule proglucagon and is proteolytically processed to yield the mature peptide in α cells of the pancreatic islets. Glucagon causes the release of glucose from glycogen and stimulates gluconeogenesis in the liver (1,2).

    Alternate Names

    GCG; Glicentin; Glicentin-related polypeptide; GLP-1; GLP-1(7-36); GLP-1(7-37); GLP-2; GLP1; GLP2; GLUC; Glucagon; Glucagon-like peptide 1; Glucagon-like peptide 1(7-36); Glucagon-like peptide 1(7-37); Glucagon-like peptide 2; GRPP; Incretin hormone; OXM; OXY; Oxyntomodulin; preproglucagon; Pro-glucagon

    For Research Use Only. Not for Use in Diagnostic Procedures.
    Cell Signaling Technology is a trademark of Cell Signaling Technology, Inc.
    All other trademarks are the property of their respective owners. Visit our Trademark Information page.