Cell Signaling Technology Logo - Extra Large
Trial Size Available Flag
Recombinant Flag
Recombinant: Superior lot-to-lot consistency, continuous supply, and animal-free manufacturing.

PRMT1 (E5A8F) Rabbit Monoclonal Antibody #79780

Filter:
  • WB

    Product Specifications

    REACTIVITY H M R Mk
    SENSITIVITY Endogenous
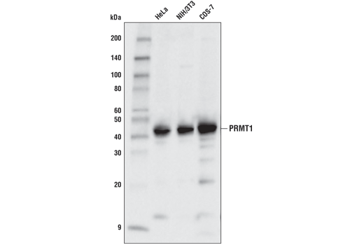
    MW (kDa) 41
    Source/Isotype Rabbit IgG
    Application Key:
    • WB-Western Blotting 
    Species Cross-Reactivity Key:
    • H-Human 
    • M-Mouse 
    • R-Rat 
    • Mk-Monkey 

    Product Information

    Product Usage Information

    Application Dilution
    Western Blotting 1:1000

    Storage

    Supplied in 10 mM sodium HEPES (pH 7.5), 150 mM NaCl, 100 µg/ml BSA, 50% glycerol and less than 0.02% sodium azide. Store at –20°C. Do not aliquot the antibody.

    实验步骤

    Specificity / Sensitivity

    PRMT1 (E5A8F) Rabbit Monoclonal Antibody recognizes endogenous levels of total PRMT1 protein.

    Species Reactivity:

    Human, Mouse, Rat, Monkey

    Source / Purification

    Monoclonal antibody is produced by immunizing animals with a synthetic peptide corresponding to residues surrounding Leu337 of human PRMT1 protein.

    Background

    Protein arginine N-methyltransferase 1 (PRMT1) is a member of the protein arginine N-methyltransferase (PRMT) family of proteins that catalyze the transfer of a methyl group from S-adenosylmethionine (AdoMet) to a guanidine nitrogen of arginine (1). Though all PRMT proteins catalyze the formation of mono-methyl arginine, Type I PRMTs (PRMT1, 3, 4, and 6) add an additional methyl group to produce an asymmetric di-methyl arginine while Type II PRMTs (PRMT 5 and 7) produce symmetric di-methyl arginine (1). Mono-methyl arginine, but not di-methyl arginine, can be converted to citrulline through deimination catalyzed by enzymes such as PADI4 (2). Most PRMTs, including PRMT1, methylate arginine residues found within glycine-arginine rich (GAR) protein domains, such as RGG, RG, and RXR repeats (1). However, PRMT4/CARM1 and PRMT5 methylate arginine residues within PGM (proline-, glycine-, methionine-rich) motifs (3). PRMT1 methylates Arg3 of histone H4 and cooperates synergistically with p300/CBP to enhance transcriptional activation by nuclear receptor proteins (4-6). In addition, PRMT1 methylates many non-histone proteins, including the orphan nuclear receptor HNF4 (6), components of the heterogeneous nuclear ribonucleoprotein (hnRNP) particle (7), the RNA binding protein Sam68 (8), interleukin enhancer-binding factor 3 (ILF3) (9) and interferon-α and β receptors (10). These interactions suggest additional functions in transcriptional regulation, mRNA processing and signal transduction. Alternative mRNA splicing produces three enzymatically active PRMT1 isoforms that differ in their amino-terminal regions (11). PRMT1 is localized to the nucleus or cytoplasm, depending on cell type (12,13), and appears in many distinct protein complexes. ILF3, TIS21 and the leukemia-associated BTG1 proteins bind PRMT1 to regulate its methyltransferase activity (9,14).

    Alternate Names

    ANM1; HCP1; heterogeneous nuclear ribonucleoprotein methyltransferase 1-like 2; Histone-arginine N-methyltransferase PRMT1; HMT1 (hnRNP methyltransferase, S. cerevisiae)-like 2; HMT1 hnRNP methyltransferase-like 2; HMT2; HRMT1L2; Interferon receptor 1-bound protein 4; IR1B4; PRMT1; protein arginine methyltransferase 1; Protein arginine N-methyltransferase 1

    For Research Use Only. Not for Use in Diagnostic Procedures.
    Cell Signaling Technology is a trademark of Cell Signaling Technology, Inc.
    All other trademarks are the property of their respective owners. Visit our Trademark Information page.